高血压脑出血分析,图文并茂!
高血压脑出血是指非创伤性脑实质自发性出血,多见于50岁以上的高血压动脉硬化患者。主要原因是与高血压相关的动脉病,常见于壳核、外囊、丘脑、内囊和大脑半球白质(见下图)

皮质动脉穿支-脑叶出血
纹状体外侧动脉-壳核出血
丘脑穿通动脉-丘脑出血
桥旁动脉出血
小脑出血(齿状核),小脑出血和AICA的一个分支



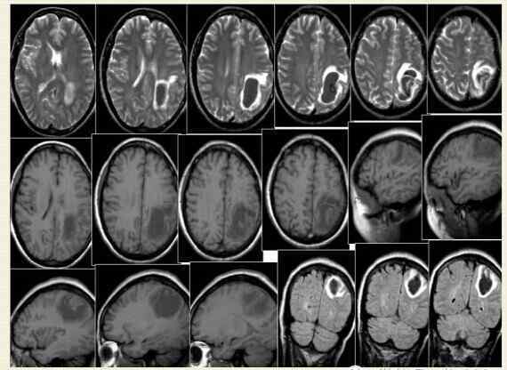
随着出血量的增加,形成血肿,脑组织被破坏,血肿及其周围脑组织水肿、受压。脑内血肿在不同时期有不同的病理改变,相应出现不同的影像学改变。
1.超急性期(6小时内):血肿内红细胞完整,主要含氧合血红蛋白。
2.急性期(7-72小时):红细胞脱水萎缩,主要含脱氧血红蛋白。此期病灶周围水肿,占位效应明显。
3.亚急性期(3天-2周):红细胞以铁血红蛋白为主,水肿和占位效应减轻。
4.慢性期(2周后):水肿消失,含铁血黄素演变成含铁血黄素,血肿小到足以填满,但大到足以留下囊腔。
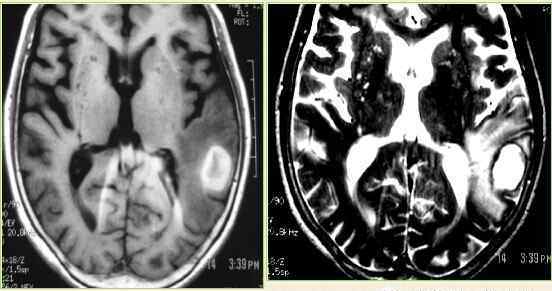
急性脑出血在CT上定位准确,是高密度图像。





诊断:高血压脑出血多见于50岁以上的高血压患者。常因情绪激动、脑力过度、体力劳动或其他因素引起血压急剧升高,导致患病脑血管微动脉瘤破裂出血,患者突然出现意识障碍、头痛、偏瘫等。头部CT应及时进行,以鉴别脑出血或脑梗塞,出血可破入脑室或并发脑积水。
目的:挽救生命,减少神经功能障碍,降低复发率。
原则:防止出血进一步加重(尽量少动患者),控制脑水肿,预防并发症,维持生命体征。
转自:华夏影像诊断中心
平台所有转载内容都是为了传递更多专业知识,服务大众,并明确注明出处和作者。荣誉和版权属于原作者。如有侵权,请及时联系我们,我们会立即删除。谢谢!
1.《高血压脑出血 解析高血压性脑出血,图文并茂!》援引自互联网,旨在传递更多网络信息知识,仅代表作者本人观点,与本网站无关,侵删请联系页脚下方联系方式。
2.《高血压脑出血 解析高血压性脑出血,图文并茂!》仅供读者参考,本网站未对该内容进行证实,对其原创性、真实性、完整性、及时性不作任何保证。
3.文章转载时请保留本站内容来源地址,https://www.lu-xu.com/fangchan/669088.html










