



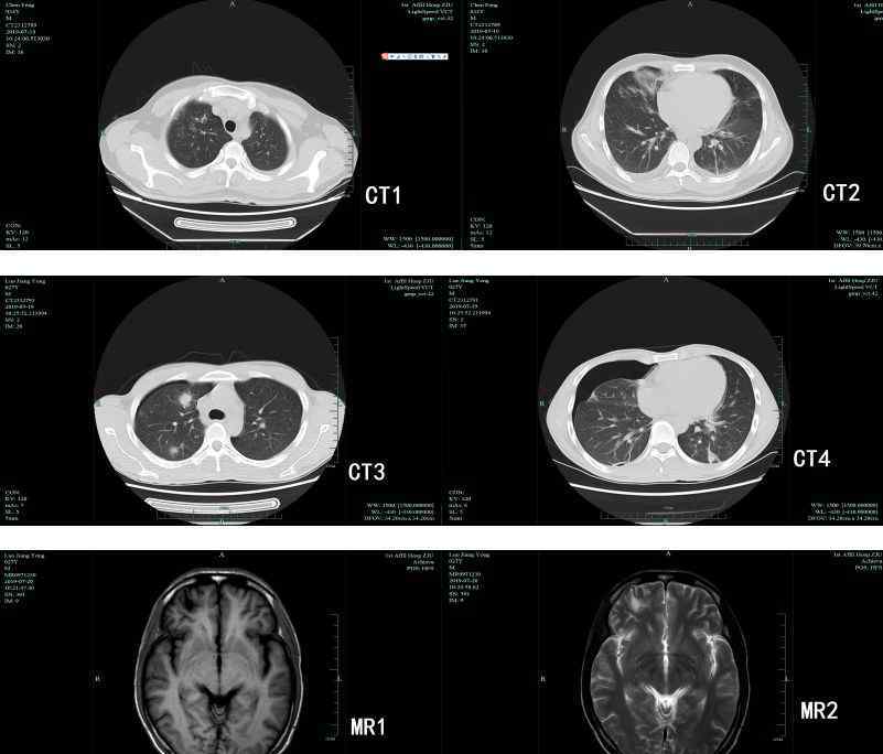
果然,寄生虫检测后,两人都是卫氏并殖吸虫抗体阳性,两人都在腹部和肺部发现了并殖吸虫。罗在脑中发现并殖吸虫囊状病灶,病情较重。好在他们及时发现,及时去了医院,医疗痊愈,没有留下后遗症。
肺吸虫百科全书
蛋阶段:在水中
婴儿阶段:侵入蜗牛和发育
青春期:淡水蟹和蟋蟀的入侵
成体:寄生于狗、猫、猪和野生动物
肺吸虫病的感染途径
其实真正有害的是囊蚴,也就是青春期的肺吸虫病。当人们食用未煮熟的带有囊蚴的淡水蟹或蝼蛄,或食用被囊蚴感染的半熟野生动物肉,或饮用被囊蚴污染的生溪流时,囊蚴经口感染,囊蚴在胃和十二指肠破裂,幼虫脱出并经肠壁进入腹腔,经膈肌进入胸腔和肺部。

人类寄生的并殖吸虫在我国主要有卫氏并殖吸虫和斯氏并殖吸虫。卫氏并殖吸虫病分布于浙江、台湾、辽宁、吉林、黑龙江等省。斯氏肺吸虫病分布于四川、江西、云南、福建、广东、贵州和陕西等省。
肺吸虫病感染的症状
副肺吸虫病是一种全身性疾病,主要由肺部疾病引起。临床表现复杂,症状的严重程度与入侵物种、受累器官、感染程度、机体反应等多种因素有关。肺吸虫病发病缓慢,潜伏期约为6个月,可短至几天,也可晚至2年。
患者可能出现低烧、咳嗽、烂桃样痰和血痰、乏力、盗汗、食欲不振、腹痛、腹泻或荨麻疹等临床表现。
根据主要器官的不同,可分为胸肺型、腹肺型、皮肤型和脑型四种。肺是卫氏并殖吸虫最寄生的部位。卫氏并殖吸虫常引起皮下结节,部分为游走性结节。
改变生食习惯,远离肺吸虫病
看了罗四兄弟的遭遇,很多人会庆幸自己没吃生螃蟹,但是注意!醉蟹也是生食,泡了酒也杀不死肺吸虫病。所以,吃醉蟹是有感染风险的。另外,不要喝看似清澈的小溪。可能你已经感染了,也有感染的可能。但不要害怕,高温煮沸后,肺吸虫病可以完全杀死。
不吃生螃蟹,
注意醉蟹!
不要喝生水。
远离肺吸虫病!
客户
1.《肺吸虫 千万别这么吃!4名小伙中招,虫到了肺、脑子……》援引自互联网,旨在传递更多网络信息知识,仅代表作者本人观点,与本网站无关,侵删请联系页脚下方联系方式。
2.《肺吸虫 千万别这么吃!4名小伙中招,虫到了肺、脑子……》仅供读者参考,本网站未对该内容进行证实,对其原创性、真实性、完整性、及时性不作任何保证。
3.文章转载时请保留本站内容来源地址,https://www.lu-xu.com/fangchan/1786175.html