
法洛四联症是法国医生法洛于1888年首次报道和描述的。法洛四联症是紫绀型先天性心脏病中最常见的疾病,约占先天性心脏病的10% ~ 14%。发绀是主要症状。
1病理解剖

包括以下四种畸形:1。高位室间隔缺损;2.升主动脉变宽,向右移动,横跨心室间隔。3.右心室流出道和肺动脉狭窄;4.右心室肥大
2血流动力学与临床
肺动脉口狭窄-右心室引流阻塞-右心室压力增加-右心房压力增加-导致右心扩大;肺血容量减少-左心房和左心室发育不良;室间隔缺损和右主动脉跨度,右心室静脉血通过室间隔缺损进入左心室和主动脉,引起紫绀;分流与肺动脉狭窄程度有关。狭窄越严重,右向左分流越大。
出生后出现紫绀,生长缓慢。体征为杵状指(趾),胸骨左缘2-3根肋骨间听到喷射收缩期杂音,肺动脉第二心音减弱或消失;心电图:右轴偏斜,右心室肥大;x线:肺血减少。
3.超声心动图检查要点
1.基础切面:胸骨旁左心室长轴、右心室流出道、大血管短轴、心尖五腔;
胸骨上窝切面;2.确定主动脉跨室间隔的程度;3.室间隔缺损的位置、大小及室间隔缺损平面的分流方向;4.确定右心室流出道的梗阻程度,评价肺动脉狭窄的部位和程度。
4超声心动图表现
F4·2D图(1)

左心室长轴切面:右心室肥大;VSD;主动脉增宽,前壁跨于室间隔,跨率约为50%。主动脉与左心房的比例增加,主动脉向右移动。
F4·2D图(2)

右心室流出道重度狭窄与VSD
F4·2D图(3)

狭窄程度相对较轻,可见第三脑室
F4·2D图(4)

关键词五腔切面,主动脉跨宽,VSD,
F4·2D图(5)

VSD主动脉加宽跨座
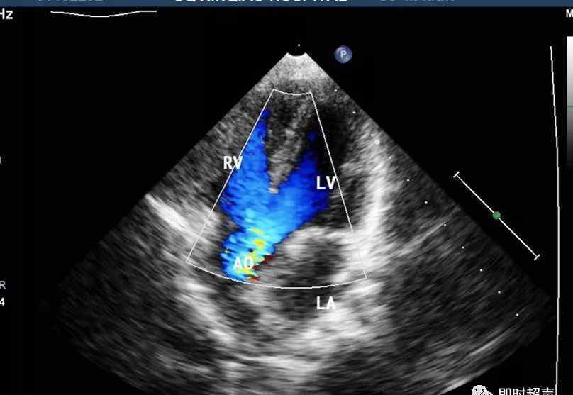
彩色多普勒血流显像(CDF I)(1)

来自左右心室的两个蓝色血流信号分别进入心尖五腔切面的主动脉。
彩色多普勒血流成像(CDFI-2)

室间隔中断处可见红蓝分流双向流程图。由于左右房室的压差较小,分流一般为层流。
彩色多普勒血流成像(CDFI-3)

右心室流出道和肺动脉呈多色镶嵌信号
彩色多普勒血流成像(CDFI-4)

湍流延伸到肺动脉分支
频谱多普勒

右心室流出道和肺动脉口出现收缩期喷射。
5诊断标准
1.主动脉增宽、前移、跨骑,肺动脉起源于右心室;2.室间隔缺损;3.肺动脉不同程度狭窄;4.右心室肥大伴增大。
6鉴别诊断
1.巨大室间隔缺损合并艾森格综合征2。右心室双出口3号。永久性动脉干。
7案例分析
成人患者,轻度紫绀,首次超声诊断为法洛四联症,临床需要复查。

右心室肥大

VSD双向分流器

大VSD,包括嵴上和嵴下

骑行标志
肺动脉瓣肺动脉高压波形(重要鉴别点)

最终诊断:VSD合并艾森美格综合征
区别于永久性动脉干


图:VSD和多空存在,但没有显示流出通道;下图,肺动脉起源于永久性动脉干(PTA)。
七、临床价值
典型的超声表现可以确诊,但2DE难以评估部分患者的肺动脉狭窄。
版权声明:本文是公益学习交流的平台,欢迎粉丝投稿。转载的文章标注作者和出处,版权归原作者所有。如有侵权,请联系我们妥善处理。
↓
↓
1.《法洛四联症的四种畸形 法洛四联症的超声诊断》援引自互联网,旨在传递更多网络信息知识,仅代表作者本人观点,与本网站无关,侵删请联系页脚下方联系方式。
2.《法洛四联症的四种畸形 法洛四联症的超声诊断》仅供读者参考,本网站未对该内容进行证实,对其原创性、真实性、完整性、及时性不作任何保证。
3.文章转载时请保留本站内容来源地址,https://www.lu-xu.com/jiaoyu/1589330.html








