正式介绍
从病理和影像学特征了解肺气囊、肺囊肿和肺大泡。
1个肺气囊
病理
肺气球是肺部充满气体的薄壁空腔。它通常由急性肺炎、外伤或吸入碳氢化合物液体引起,通常是短暂的。
胸片和CT表现
肺气囊是肺部的一个圆形薄壁空气轴承腔。

图1胸部x光片显示肺气囊
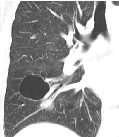
2肺囊肿
病理
囊肿一般指圆形气囊,囊肿壁由上皮或纤维组织组成,厚度不同。
胸片和CT表现
囊肿显示肺实质圆形透明或低密度区,与正常肺组织界限清楚。囊肿的壁厚各不相同,但通常很薄,没有肺气肿。肺中的囊肿通常含有空气体,但偶尔也会含有液体或固体物质。囊性变一词常用于描述淋巴管平滑肌瘤病或朗格罕氏细胞增生患者肺中扩大的薄壁含气腔,厚壁蜂窝状囊性病变见于终末期肺纤维化患者。

图2电脑断层显示肺囊肿
3肺大泡
病理
直径大于1cm的气腔通常伴有肺大泡附近肺组织的肺气肿改变。
胸片和CT表现
肺大疱呈圆形局部半透明影或密度减低区,直径≥1cm,以薄壁为界。多发性肺大泡很常见,并与肺气肿的其他体征相关。

图3
一脉通是由汉赛尔等人的《胸部影像术语表1》汇编而成。放射学。弗莱舍纳学会,2008,246 : 697-722
1.《肺气囊 肺气囊、肺囊肿和肺大疱到底是哪跟哪?》援引自互联网,旨在传递更多网络信息知识,仅代表作者本人观点,与本网站无关,侵删请联系页脚下方联系方式。
2.《肺气囊 肺气囊、肺囊肿和肺大疱到底是哪跟哪?》仅供读者参考,本网站未对该内容进行证实,对其原创性、真实性、完整性、及时性不作任何保证。
3.文章转载时请保留本站内容来源地址,https://www.lu-xu.com/tiyu/1663834.html