一美通编译,请勿擅自转载。
患者56岁。与机动车相撞后的膀胱造影如图1所示。你考虑什么诊断?
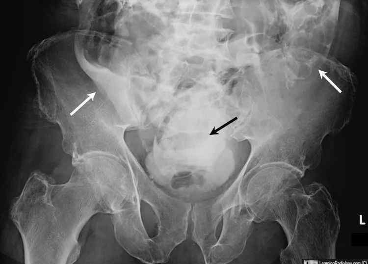
图1对比剂注入膀胱后的骨盆平片
1.结肠膀胱瘘
2.膀胱外翻
3.腹膜内膀胱破裂
4.膀胱肿瘤
5.腹膜外膀胱破裂
参考答案:腹膜内膀胱破裂
膀胱破裂简介
膀胱是腹膜间空腔器官。膀胱排空位于骨盆内,受骨盆及周围肌肉组织保护,不易受损。膀胱充盈时,膀胱顶部超出耻骨联合,附着于前腹壁,失去对骨盆的保护,容易受损。
当直接或间接暴力等因素作用时,膀胱壁可能破裂,尿液和血液会流入腹腔,引起腹痛、排尿困难、血尿等症状。膀胱破裂是泌尿外科的急症,需要紧急治疗。
打字
第一型:膀胱挫伤,最常见的情况,是膀胱粘膜不完全撕裂的结果。膀胱造影可以显示正常。
第二型:腹腔内膀胱破裂,通常继发于穿透伤或医源性损伤,多为膀胱充盈时腹部外伤所致。膀胱圆顶是最薄弱的部位,所以最容易破裂。造影剂可以通过成像检查在结肠旁沟和小肠环之间观察到。
儿童膀胱位置较高,更靠近腹膜,钝性外伤更容易引起腹膜内膀胱破裂;成人膀胱穹窿大多仍位于腹膜外,只有膀胱完全充盈时,钝性创伤才能导致腹膜膀胱破裂。
ⅲ型:浆膜面撕裂致间质损伤,可见膀胱壁缺损,无漏尿。
ⅳ型:腹膜外膀胱破裂,通常继发于邻近骨盆骨折或耻骨前列腺韧带固定点撕脱撕裂,破裂点通常靠近膀胱前外侧基底部分。ⅳ型也可细分为简单型,即腔外造影剂局限于膀胱周围;复合型,即腔外造影剂延伸至大腿、阴囊或会阴。
v型:合并腹膜外和腹膜内膀胱破裂。
影像表现
膀胱破裂的诊断和评估包括膀胱尿道造影。
VCUG:在膀胱破裂的诊断中,膀胱造影一直是造影检查的首选。检查前,患者的膀胱应充分扩张。
腹部平片:1。“梨形”膀胱;2.麻痹性肠梗阻;3.回肠循环上移;4.造影剂呈火焰状,渗入膀胱周围脂肪,可延伸至结肠旁沟甚至大腿/前腹壁。因为腹膜内膀胱破裂有可能发展为化学性腹膜炎,其破裂死亡率最高,需要紧急手术修复。
图2腹膜内膀胱破裂。注射到膀胱中的造影剂延伸到膀胱圆顶的外部,并勾勒出下腹部肠袢
腹部超声:“膀胱中的膀胱”,即膀胱周围有积液。
《医学脉搏》由http://learningradiology.com编撰
1.《膀胱破裂 膀胱破裂的分型和影像学表现》援引自互联网,旨在传递更多网络信息知识,仅代表作者本人观点,与本网站无关,侵删请联系页脚下方联系方式。
2.《膀胱破裂 膀胱破裂的分型和影像学表现》仅供读者参考,本网站未对该内容进行证实,对其原创性、真实性、完整性、及时性不作任何保证。
3.文章转载时请保留本站内容来源地址,https://www.lu-xu.com/tiyu/1589051.html





