内容来源:腹部特委案例阅读比赛。病例提供者:中山大学第一附属医院李子平教授
内容组织者:云英腹盆集团李秀
患者,女性,64岁,反复出现上腹部疼痛和不适超过一个月,表现为阵发性症状。局部b超检查显示胰腺占位。经检查,上腹部有压痛,无反弹痛。血液淀粉酶84u/L脂肪酶227u/L消化系统肿瘤标志物CA199 150.02u/ml免疫球蛋白IgG 19.90g/L
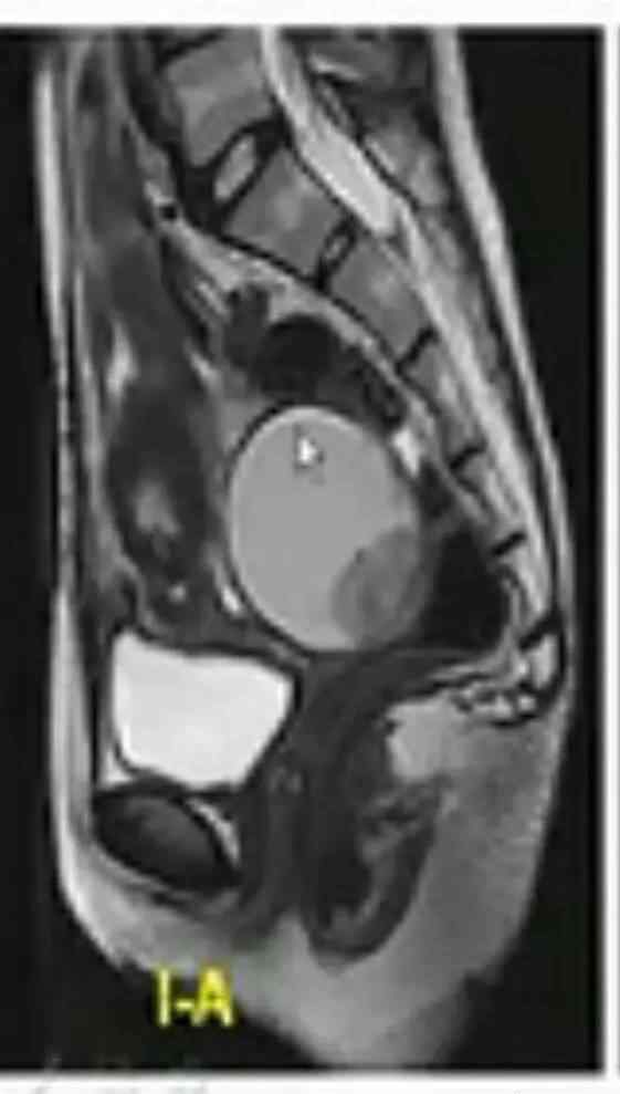
该病例的特征为腹膜后肿瘤、Tiwi+FS信号、液-液平面、T2WI+FS高信号、动态增强减影无强化
病理结果:异位支气管囊肿可见平滑肌细胞纤毛柱状上皮


这是一例粘液性囊腺瘤。CT单室密度低,均匀薄壁,边界清晰。T2WI信号强度高,边界清晰。3.囊性畸胎瘤通常发生在女性新生儿,尤其是左侧。边界清晰,单囊/多囊,囊壁无强化。该组合物很复杂,通常含有脂肪和钙,胶囊中可能出现液-液分层。脂肪可以通过同相和异相扫描来抑制。



这是另一个畸胎瘤,病灶内有脂肪、骨骼、牙齿和含脂液体

还有一例,17岁女孩,成熟囊性畸胎瘤,混密度肿块,内含脂肪,钙化,软组织密度

4.表皮样囊肿常见于中年女性,可发生在任何地方,主要发生在腹膜后和骶前间隙。边界清楚,单一实质囊肿。CT密度均匀,含蛋白或出血时密度增加。MR的信号强度不均匀,与胆固醇含量有关。TIWI信号强度略低,T2WI信号强度高,囊壁不增强。并发感染时可加强。CT显示脾脏内有一个大的囊性低密度病灶,部分囊壁钙化。T2WI上呈均匀高信号,无明显强化。


5.中肾管/副肾管囊肿主要发生在年轻女性,而后者主要发生在年轻男性。腹膜后组织中肾管/副肾管异常残留。可能与激素刺激异常有关,如接受激素治疗的月经紊乱。单房/多房囊肿,壁稍厚,CT密度均匀低。磁共振成像显示在TIWI上呈均匀低信号,在T2WI上呈高信号,增强后囊壁增强。T2WI显示出血高信号,中等信号

6.实体瘤囊性变神经性肿瘤囊性变发生于中年男性,脊柱旁,沿交感神经链纵向分布。神经节细胞瘤可能有相应的儿茶酚胺增多的临床表现。特点是单间/多间,墙厚,内墙不规则,后墙明显增强。囊内TIWI呈低信号,T2WI呈高信号。以下病例为嗜铬细胞瘤囊性变患者。CT表现为囊性低密度、厚壁、均匀强化。


7.淋巴囊肿、泌尿囊肿、血肿、脓肿,前三者与损伤有关,并有相应的手术或外伤史。脓肿有感染迹象和相关病史。泌尿系囊肿多位于肾周间隙,造影剂可进入。影像学表现多种多样,取决于病变的类型和阶段。宫颈癌术后左髂血管旁淋巴囊肿

此病例为一49岁女性,因子宫颈癌行子宫切除术后出现盆腔泌尿囊肿。CT表现为低密度和强化壁。

下一病例,女性,31岁,盆腔泌尿系囊肿,CT显示低密度,壁显示强化


CT密度低,壁厚明显增强,腔内分离增强

最后我们总结一下:1。异位支气管囊肿:先天性,多见于腹膜后左侧,圆形/类圆形,薄壁单间,壁强化,t1信号强度相等或稍高,T2信号强度高,液面高。2.囊性畸胎瘤常见于女性新生儿左侧,呈圆形/类圆形,薄壁,单房或多房,壁无强化,成分复杂不均匀,也有脂肪分层。3.儿童囊性淋巴管瘤,生长在任何位置,薄壁,有或无间隔,均匀,低信号强度的钛和高信号强度的T2。4.中肾管/副中肾管囊肿年轻女性,圆形或类圆形。单间/多间,墙略厚且均匀,ti低信号,T2高信号。可能有激素刺激异常史。5.淋巴囊肿、泌尿囊肿、血肿、脓肿。有外伤史,泌尿系囊肿多见于肾脏周围。这些病变有各种形状,取决于病变的位置、性质和内容,并有相关病史。
腹膜后器官的囊性肿瘤有几种:胰腺假性囊肿、粘液性囊腺瘤、浆液性囊腺瘤和囊性假乳头状瘤。肾上腺是囊肿嗜铬细胞瘤神经节细胞瘤神经鞘瘤。有囊肿、囊性肾细胞癌、混合性上皮-间质肿瘤、血管淋巴瘤、肾盂憩室等。附件区的囊性肿瘤包括粘液性囊腺瘤、浆液性囊腺瘤、腹膜后假粘液瘤。
版权声明【本微信所有转载文章均为传递更多信息目的,并明确注明出处和作者。不想被转载的媒体或个人可以联系我们,我们会立即删除]
1.《支气管囊肿怎么治疗 异位支气管囊肿的诊断与鉴别诊断》援引自互联网,旨在传递更多网络信息知识,仅代表作者本人观点,与本网站无关,侵删请联系页脚下方联系方式。
2.《支气管囊肿怎么治疗 异位支气管囊肿的诊断与鉴别诊断》仅供读者参考,本网站未对该内容进行证实,对其原创性、真实性、完整性、及时性不作任何保证。
3.文章转载时请保留本站内容来源地址,https://www.lu-xu.com/shehui/1720165.html