关注我们,变得更加精彩
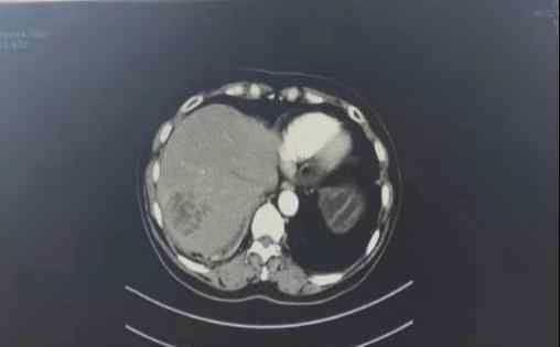
肝脓肿是由细菌、真菌或溶组织阿米巴等引起的肝脏化脓性疾病。如果不积极治疗,死亡率可高达10% ~ 30%。肝脏中有丰富的管道系统,包括胆道系统、门静脉系统、肝动静脉系统和淋巴系统,大大增加了微生物寄生和感染的几率。肝脓肿有三种类型,其中细菌性肝脓肿常为各种细菌引起的混合感染,约占80%,阿米巴性肝脓肿约占10%,真菌性肝脓肿不到10%。


近日,我院急诊外科主任杨念斌与肿瘤科主任张贡献合作,完成了一次CT引导下经皮肝脓肿引流。
患者马某因“发热、咳嗽、恶心、呕吐3天”入院。相关检查有所改进,血培养呈革兰氏阴性菌。诊断:1。肝脓肿2。肺部感染3。菌血症4。右侧胸腔积液。经多学科会诊,CT引导下经皮肝脓肿引流,手术过程顺利。术后通过引流管多次冲洗给药,治疗效果良好,患者恢复良好。

该技术填补了我院肝穿刺的空空白,在我市也处于领先地位。这标志着我院在多学科协作和微创技术方面迈出了新的一步。
贡献|急诊手术
1.《张贡献 【医术推广】CT引导下经皮肝脓肿穿刺引流术》援引自互联网,旨在传递更多网络信息知识,仅代表作者本人观点,与本网站无关,侵删请联系页脚下方联系方式。
2.《张贡献 【医术推广】CT引导下经皮肝脓肿穿刺引流术》仅供读者参考,本网站未对该内容进行证实,对其原创性、真实性、完整性、及时性不作任何保证。
3.文章转载时请保留本站内容来源地址,https://www.lu-xu.com/shehui/1178649.html





