↑↑
稀有
浆膜下子宫肌瘤(阔韧带肌瘤)
2018年9月13日
病史:女,51岁。没有任何不适,家人以为他们胖了。

























































病理结果:浆膜下子宫肌瘤(阔韧带肌瘤)
分析
术中发现与左侧子宫壁、阔韧带关系密切,与左侧卵巢有粘连。
子宫肌瘤是女性生殖器官最常见的良性肿瘤之一,也是人体最常见的肿瘤之一,也称为肌瘤和子宫肌瘤。子宫肌瘤主要是由子宫平滑肌细胞增殖引起的,其中有少量纤维结缔组织作为支持组织存在,称之为子宫肌瘤更为准确。简称子宫肌瘤。
根据子宫肌瘤所在部位的不同,分为以下几类:
1.壁内平滑肌瘤位于肌壁,被肌层包围。首次发病时为最常见的平滑肌瘤,约占60 ~ 70%。
2.子宫下平滑肌瘤子宫肌层发展为浆膜,从子宫表面突出,与浆膜直接接触,约占20%。如果长在伸入阔韧带的两片叶子之间,就是阔韧带内的肌瘤。
3.粘膜下肌瘤壁内肌瘤长入宫腔,突出宫腔,直接接触粘膜,约占10%-15%。这种肿瘤可以使子宫腔逐渐扩大变形,往往蒂与子宫相连。比如椎弓根长度可以堵住宫颈或者从阴道出来。
4.宫颈肌瘤比较少见,生长在宫颈区。因其生长位置低,可嵌入盆腔,造成压迫症状,难以取出,易损伤输尿管和膀胱。
子宫肌瘤往往是多发性的,这些不同类型的肌瘤可以同时发生在同一个子宫内,称为多发性子宫肌瘤。
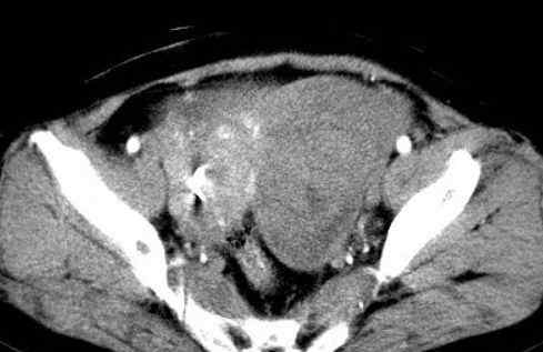
影像表现:
1.超声波检查
是目前最常用的辅助诊断方法。它能显示子宫的增大和不规则形状,肌瘤的数量、位置和大小,以及肌瘤内部是否均匀、液化或囊性。超声检查有助于子宫肌瘤的诊断,为鉴别肌瘤是否有变性提供参考,有助于与卵巢肿瘤或其他盆腔肿块的鉴别。
2.CT检查
大部分都是偶然发现的。子宫呈骨状,或子宫局部增厚,与子宫肌密度一致。变性时密度低,钙化时密度高。增强程度弱于子宫肌。
3.磁共振检查
一般来说,磁共振成像(MRI)不是必须的。如果有必要区分子宫肌瘤和子宫肉瘤,磁共振成像,尤其是增强延迟成像,有助于区分子宫肌瘤和子宫肉瘤。腹腔镜手术前,核磁共振成像还可以帮助临床医生在手术前和手术中了解肌瘤的位置,减少残留。
此例为巨大阔韧带肌瘤,易于诊断。
中国-放射学
主编:华亭湖
评论家:肖春
1.《浆膜下子宫肌瘤 浆膜下子宫肌瘤(阔韧带肌瘤),等你分析 | 读片专栏889期》援引自互联网,旨在传递更多网络信息知识,仅代表作者本人观点,与本网站无关,侵删请联系页脚下方联系方式。
2.《浆膜下子宫肌瘤 浆膜下子宫肌瘤(阔韧带肌瘤),等你分析 | 读片专栏889期》仅供读者参考,本网站未对该内容进行证实,对其原创性、真实性、完整性、及时性不作任何保证。
3.文章转载时请保留本站内容来源地址,https://www.lu-xu.com/shehui/1022544.html















