
左上颚疼痛几个月,“拔蛀牙无效”,检查后脑干长出“奇怪的东西”。
记者严云岑/台北报道
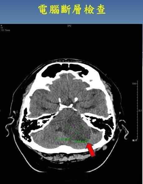
43岁男性,左上颚牙疼了几个月,拔除龋齿后没有好转。转到神经内科进行三叉神经和脑干神经回路传导和计算机断层检查后,发现脑干内近5 cm的肿瘤压迫了三叉神经。及时安排了手术切除,不仅救了他的命,而且牙痛也完全消失了。
舒天诊所神经内科主任医师黄启勋说,三叉神经痛是一种严重的慢性神经性疼痛,可能发生在面部神经支配的所有区域。典型症状为抗阵发性疼痛,非典型症状为持续性疼痛,范围从闷痛到剧烈疼痛。由于三叉神经上、下分支正好落在口腔内,常被患者误认为牙痛。
黄启勋指出,每年约8000人中有一人患有三叉神经痛,多发生在40岁以上,但任何年龄都有可能发生。三叉神经的病因包括病毒感染、自身免疫性疾病、脑血管硬化、中风或头部外伤后遗症等。;其他罕见但危险的疾病是由脑肿瘤或血管瘤压迫神经引起的。

病人接受了计算机断层扫描检查,发现脑干有肿瘤。
黄启勋提到三叉神经痛可以通过可靠的药物和手术治疗,80%的患者服用抗癫痫或抗抑郁药后可以得到很好的控制。但值得注意的是,普通镇痛药,甚至阿片类镇痛药,往往对缓解三叉神经痛无效。如果药物不能改善疼痛或对药物产生耐受性,可以考虑三叉神经隔离手术。
黄启勋提醒,三叉神经痛是公认的最痛苦的生理痛之一,有时与一般蛀牙引起的牙痛混淆。因此,如果出现非典型牙痛,应进一步检查,排除三叉神经痛的其他可能原因,以免延误病情。
1.《蛀齿 左上颚拔蛀齿无效 竟是脑干长怪物》援引自互联网,旨在传递更多网络信息知识,仅代表作者本人观点,与本网站无关,侵删请联系页脚下方联系方式。
2.《蛀齿 左上颚拔蛀齿无效 竟是脑干长怪物》仅供读者参考,本网站未对该内容进行证实,对其原创性、真实性、完整性、及时性不作任何保证。
3.文章转载时请保留本站内容来源地址,https://www.lu-xu.com/junshi/1406413.html























