什么叫肾窦?

从肾门进到为一扩张的腔隙,称为肾窦,颈静脉为肾实质。内为肾动,静脉的支系、肾盂和肾大盏、肾小盏所占有,正中间填充以脂肪细胞。此外也有植物性神经系统软件的交感神经,淋巴血管和不一样总数的结缔组织。因此 肾窦变病能够来自于其构成成份的一切机构,此外,肾窦还能够被肾实质变病及腹膜后变病所侵及。

1

肾窦人体脂肪过多症

一切正常肾窦内带有人体脂肪,并包囊别的的机构,一切正常肾窦脂肪率伴随着年纪和肥胖症水平慢慢的提升。

肾窦人体脂肪的提升而产生异常和造成肾机构的毁坏和委缩,及其内源,外源激素类药物的提升关联。

肾窦人体脂肪过多症指人体脂肪明显增长而产生占位性病变效用危害肾脏功能搜集系统软件。肾窦人体脂肪过多症占位性病变效用非常少造成临床表现是由于单纯性的人体脂肪过多症不容易造成肾盏梗塞。

泌尿系统造影检查可以显示信息肾窦的晶莹剔透区和拉申的肾布氏漏斗。超声波可以显示信息肾窦的扩张。CT和MRI可以立即显示信息肾窦人体脂肪过多症的人体脂肪成份。

2

肾窦襄肿

是一种常见病,据报道验尸发病率为1.28%-- 1.5%。肾盂周边襄肿,肾盂旁襄肿,肾盂旁淋巴囊肿和淋巴血管扩大是用于叙述产生在肾窦内的转膛或多发性襄肿的不一样方式。有二种不一样的方式,一种方式:多发性的,小的,结合的襄肿,被称作肾盂周边襄肿和肾实质外的良好襄肿。她们被觉得是淋巴结原性的,非常少造成临床表现,一般是两侧的。

此外一种方式:肾窦内转膛的,很大的襄肿。十分像来自于相邻的肾实质。被称作肾盂旁襄肿。一般转膛或是极少数的,有时候很大的肾盂旁襄肿由于挤压毛细血管系统软件和搜集系统软件出現病症如血压高,尿血,局限肾盂积水。

3

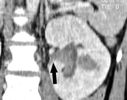
肾动脉瘤

最普遍的缘故是主动脉粥样硬化。主动脉粥样硬化的肾动脉超出50%产生环状增厚。

在做身体之外冲击波碎石术以前,差别增厚的肾动脉瘤和结石是十分关键的。

比照提高CT和心血管造影肾动脉瘤依据瘤身体静脉血栓的是多少可产生不一样水平的加强,彩色多普勒超声波可以发觉具备液体特点的硬块。

4

动静脉瘘

分先天动静脉瘘和继发性动静脉瘘,后面一种最普遍,占70%–80%,肾活检是最普遍缘故。绝大多数动静脉瘘 临床表现呈阴性。可是她们能够出現下列一切一种病症:中重度尿血,腹腔杂声,高输出量慢性心衰,血压高,腹疼。

5

炎占位性病变

虽然原发性于肾窦内炎占位性病变非常少见,可是肾脏炎占位性病变侵及肾窦和肾周并不是少见。有时候炎占位性病变集聚于肾窦内产生隐匿性恶性肿瘤迹象

18岁,白血病病人,发烫,左边腰部酸痛。肾脏功能曲霉菌病

6

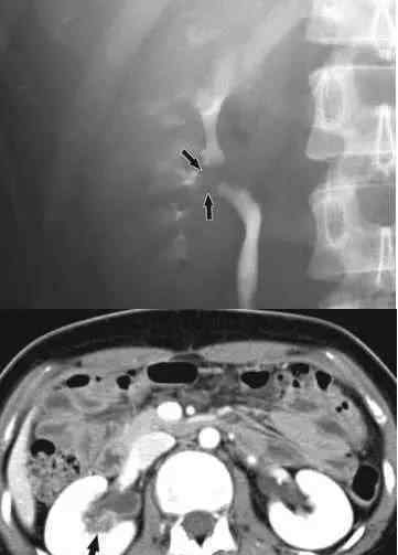
肾盂肿瘤

肾盂肿瘤仅占尿道新微生物的5%。移形细胞癌占约90%,剩下10%为鳞状上皮细胞癌。恶性肿瘤起自肾盂管理中心,侵犯到肾窦人体脂肪和肾实质。尿道造影检查原发性肾盂肿瘤由于恶性肿瘤或流血出現冲盈破损,由于恶变毁坏出現肾盏终断。超声波显示信息肾窦内人体脂肪被恶性肿瘤取代。CT和MRI,I和II期的初期移形细胞癌显示信息肾窦内人体脂肪受力挪动,反过来,III和IV期侵蚀性移形细胞癌侵害肾窦内人体脂肪 和侵蚀周边肾实质,造成肾轮廊的更改。

7

原发性间叶组织恶性肿瘤

较为少见,能够一样产生于肾窦,肾外膜和肾实质。良性瘤有神经纤维瘤,纤维瘤,平滑肌瘤,毛细血管肌脂瘤,神经系统原性恶性肿瘤,和畸胎瘤。原发性间叶组织的肿瘤有平滑肌肉瘤,纤维肉瘤,脂肪肉瘤,毛细血管表皮细胞瘤,和恶变结缔组织细胞瘤。平滑肌肉瘤是最普遍的。

33岁,男士,中重度尿血,左侧腰痛,肾窦静脉血管瘤。

27岁,女士,中重度尿血,肾窦平滑肌瘤

8

肾实质恶性肿瘤侵及肾窦

肾实质恶性肿瘤绝大多数呈球型硬块,朔性生长发育。侵及肾窦,挤压或侵害肾窦人体脂肪。具备象征性的是肾细胞癌和良好的多房性囊性肾瘤。

肾细胞癌,是最普遍的肾实质恶性肿瘤,绝大多数肾细胞癌朔性生长发育一般侵及肾窦。造成 部分肾盂积水和肾盏挪动。侵及肾窦的临床表现取决于和移形细胞癌的差别,及其恶性肿瘤的分期付款对普外医治的危害。肾细胞癌有向肾静脉血管延及的发展趋势。肾一部分摘除术适用 3厘米,未侵犯到肾窦人体脂肪,肾周人体脂肪和肾脏功能搜集系统软件,尤其是在这些肾脏功能衰减系数,孤立肾,双侧肾脏功能肿瘤的病人。侵犯到肾窦人体脂肪代表着肾一部分摘除术不可以取得成功的,彻底的 摘除恶性肿瘤。三维 CT和MRI可以显示信息肾脏肿瘤的部位,和搜集系统软件,静脉血管系统软件的关联。

多房性囊性肾瘤,是良好的,多房状,囊性的恶性肿瘤,始于肾实质。多见于于2个年龄层,青少年男士,中老年 女士。该恶性肿瘤常常突显于肾窦内。影象上多房性囊性肾瘤为人生境界清晰的囊性硬块,内很厚的隔开。

9

腹膜后肿瘤侵及肾窦

一切腹膜后肿瘤都能够侵及肾窦,典型性的事例是淋巴肿瘤。侵及肾窦是腹膜后淋巴肿瘤的普遍主要表现。多发性于非何杰金氏淋巴肿瘤。肾毛细血管系统软件一般是保存存有的,反过来,搜集系统软件累及造成肾盂积水。

56岁,男士,淋巴肿瘤侵及肾实质和肾窦

【版权声明】本服务平台属公益性在线学习平台,转截系出自于传送大量学习培训信息内容之目地,若有照片、內容等不愿转截散播可与大家联络删掉。

1.《肾窦人体脂肪过多症占位性病变效用危害肾脏功能搜集系统软件》援引自互联网,旨在传递更多网络信息知识,仅代表作者本人观点,与本网站无关,侵删请联系页脚下方联系方式。

2.《肾窦人体脂肪过多症占位性病变效用危害肾脏功能搜集系统软件》仅供读者参考,本网站未对该内容进行证实,对其原创性、真实性、完整性、及时性不作任何保证。

3.文章转载时请保留本站内容来源地址,https://www.lu-xu.com/jiaoyu/406263.html