话接上回,咱先一起回顾一下病例:
病例1:患者,男性,19岁,左颈部多发包块就诊,无疼痛不适。超声检查发现诸多异常肿大淋巴结,如下图所示。

图1-1:左颈部毗邻颈总动脉处异常肿大淋巴结,大小约3.0x2.0x1.8cm,回声为中低回声,门样结构消失,内部回声似呈网格样(箭头所示)。



图1-2、1-3、1-4:CDFI显示异常淋巴结内血流分布,周边血流较多,而中心血流则相对少,呈多支供血表现,正常放射状门样血流消失。

图1-5:左锁骨上窝处同样可见多发异常肿大淋巴结,表现类似。

图1-6:左锁骨上窝处更多的异常淋巴结。

图1-7:CDFI显示异常淋巴结周边血流较多,而中心血流则较少。
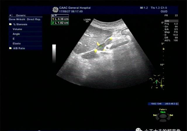
病例2:患者,男性,57岁,腹部不适就诊。入院常规腹部超声检查,发现上腹部胰腺周围及腹主动脉旁数个异常肿大淋巴结,及肿大的脾脏,进一步行全身浅表淋巴结检查,发现颈部、腋窝、腹股沟区更多异常肿大淋巴结,如下图所示。


图2-1、2-2:纵切面及横切面显示胰腺旁异常肿大淋巴结,大小约4.2×1.6×1.4cm,形态欠规则,边界尚清,门样结构消失。

图2-3:纵切面显示更多腹膜后异常肿大淋巴结。

图2-4:腹部超声同时发现脾肿大,长径约16.7cm,厚约6.7cm。

图2-5:右颈部异常肿大淋巴结,大小约1.7x1.4cm,呈中低回声,低回声为主,外形不规则,边界尚清,门样结构消失。

图2-6:CDFI:右颈部异常淋巴结内见少量血流信号,分布不均。

图2-7:左颈部异常肿大淋巴结,大小约2.8x1.3cm,门样结构不清晰,内部回声部分似呈网格样。

图2-8:CDFI:左颈部异常淋巴结内血流信号尚呈放射状门样分布。


图2-9、2-10:双侧腋下异常肿大淋巴结,形态欠规则,尚可探及门样结构,内部血流较少。



图2-11、2-12、2-13:双侧腹股沟区扫查发现淋巴结也是异常肿大。
这两位病人患的啥病呢?
几点值得注意的地方:
1.这些淋巴结非常大。
2.它们仍以椭圆形为主,呈圆形的不多。
3.回声并不那么低,不似淋巴瘤那般深邃,近乎无回声。
4.部分内部回声呈(或部分呈)网格样表现。
5.它们中大多数血流不算丰富,部分呈周边血流多,而中心少的表现,且多支供血。
揭秘:病理最终为我们揭示谜底,这两位病人得的是Castleman病,即Castleman Disease,简称CD。关于CD,可以参见前发的[肾脏Castleman病]一文,今天继续和大家聊聊有趣的CD。
由误诊引出的新秀
CD算是疾病界的一枚小鲜肉,最早由Castleman和Towne于1954年首次报道,1956年以发现者Castleman命名。当时Castleman发现的是一例胸腺孤立型CD透明血管型(其他称谓:单中心型、局灶型、玻璃样血管型)。
在显微镜下,该型呈现出增生淋巴组织中散在分布的大淋巴滤泡,而这些滤泡则显示出显著的血管增生和异常的生发中心玻璃样变性(透明),这些表现与胸腺内的Hassall小体非常相似,以致于历史上第一例CD最初被误诊为胸腺瘤。

图3:Castleman病透明血管型。可见滤泡周边紧密同心圆排列的淋巴细胞,整体呈“洋葱皮样”表现。(非本例)
无独有偶,第二例CD也是一份误诊病例,这次这些滤泡被误认为是脾白髓,而导致患者被误诊为异位脾。
可见单纯从镜下表现去辨认CD是容易失手的,还好后来我们有了免疫组化,透明血管型的CD21和CD35呈强阳性,强力辅助疾病的诊断。
令人苦恼的分型
CD分型经常令人很困惑,又透明血管型啦,又多中心型啦,不易识记。其实这也不是很困难的事,只要记住两型就迎刃而解了,即
①孤立型透明血管型(简称UCD-HV型),
②多中心型浆细胞型(简称MCD-PC型)。
CD 100% →UCD-HV 70%
→UCD-PC 20%
→MCD-PC 10%
*大多数UCD为HV型,绝大多数MCD为PC型
为什么只记忆UCD-HV和MCD-PC这两种分型?
因为相对于病理的HV和PC两种分型,对于我们超人来说,UCD和MCD分型更容易观察。多器官(包括肝脏、脾脏)、多处淋巴结(尤其是各处浅表淋巴结)扫查,可以协助我们快速的、较为准确的分辨眼下的CD是U还是M。
UCD往往表现为单一异常肿大淋巴结(甚至可达15cm以上),或单一异常肿大淋巴结伴周围环伺的类似淋巴结(相邻的这些淋巴结镜下也有CD的早期改变),其中纵隔淋巴结首当其冲,最为常见,达70%,其次为浅表淋巴结,占20%。
与之对应,UCD往往无症状,且预后良好。
MCD就麻烦得多,往往表现为全身多处多发异常肿大淋巴结,临床表现复杂多变,常伴有发热、盗汗、乏力等全身症状,乃至副肿瘤综合征(可百度了解)。75%的MCD伴有肝、脾肿大,这点可为我们超人所用,文中第二例患者也伴有脾肿大。
与之对应,MCD预后较差,有相当大的进展为恶性淋巴瘤和卡波西肉瘤的风险。
CD的超声表现有何特点?
CD的超声表现在前文中已大多提到,如受累淋巴结异常大(甚至可>15cm),形态饱满等。CD的病例相对少,很多超声表现的特异性、灵敏性高低尚无从验证。
但从CD的病理表现上,我们可以窥知一二,如:
①HV型内部血流应较丰富,而PC型则内部血流较少;
②HV型病理呈“洋葱皮样”改变,与声像图中诸多网格样改变,可能有千丝万缕联系;
③HV型可表现为单一异常肿大淋巴结伴周围环伺的类似淋巴结(相邻的这些淋巴结镜下也有CD的早期改变),与第一例中最大淋巴结异变明显,门样结构消失,而其他较小淋巴结门样结构相对有所保留,也不无相关...
CD的很多秘密还有待我们超人去挖掘,让我们一起努力吧,一同挖掘CD里深埋的宝藏!
1.《揭秘:淋巴结总是令人困惑的存在:Castleman Disease》援引自互联网,旨在传递更多网络信息知识,仅代表作者本人观点,与本网站无关,侵删请联系页脚下方联系方式。
2.《揭秘:淋巴结总是令人困惑的存在:Castleman Disease》仅供读者参考,本网站未对该内容进行证实,对其原创性、真实性、完整性、及时性不作任何保证。
3.文章转载时请保留本站内容来源地址,https://www.lu-xu.com/jiaoyu/19698.html