
1
肝包虫
典型
大囊包小囊



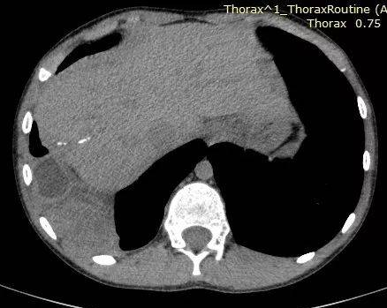
2

肺包虫病
典型
多囊、部分钙化



3
胸膜腔包虫
典型
多囊聚集




4

脑包虫病
还是囊状改变


5
大腿包虫
典型
还是大囊包小囊





MRI显示更清楚
说明
包虫病:
分类:一种是细粒棘球蚴病感染,一种是泡状棘球蚴感染
细粒状棘球蚴在组织内以包囊的膨胀方式逐渐长大,包虫囊肿的壁分为内囊和外囊。内囊系棘球蚴本身形成的囊,甚薄,由内外两层组成,内层为发生层,外层为角质层。角质层具有保护和渗透作用,发生层内囊腔长出雏囊。外囊为包围囊虫的肝组织形成的纤维组织层。生长较久的包虫外囊常发生钙化。(大囊包小囊)
泡状棘球蚴在肝内呈弥漫性浸润生长,由无数小囊泡聚集而成,没有大囊或完整纤维组织层包绕,与正常肝组织界限不清。小囊泡常因病程较长,囊壁有钙盐沉积而呈颗粒状及无定型钙化。大的病灶中心可因为组织变性或者坏死而形成空腔。(小囊绕大囊)

1.《简直匪夷所思!包虫居然可以长在这些地方!》援引自互联网,旨在传递更多网络信息知识,仅代表作者本人观点,与本网站无关,侵删请联系页脚下方联系方式。
2.《简直匪夷所思!包虫居然可以长在这些地方!》仅供读者参考,本网站未对该内容进行证实,对其原创性、真实性、完整性、及时性不作任何保证。
3.文章转载时请保留本站内容来源地址,https://www.lu-xu.com/jiaoyu/13018.html