































脊索瘤
这种疾病发生在剩余的脊索组织中。
偏好年龄:
骶尾部患者多见于50-60岁,蝶枕部患者多见于30-60岁。男:女=2:1。
最常见部位:躯干轴骨,骶尾部55%,蝶枕关节35%,脊柱其他部位及周围10%。
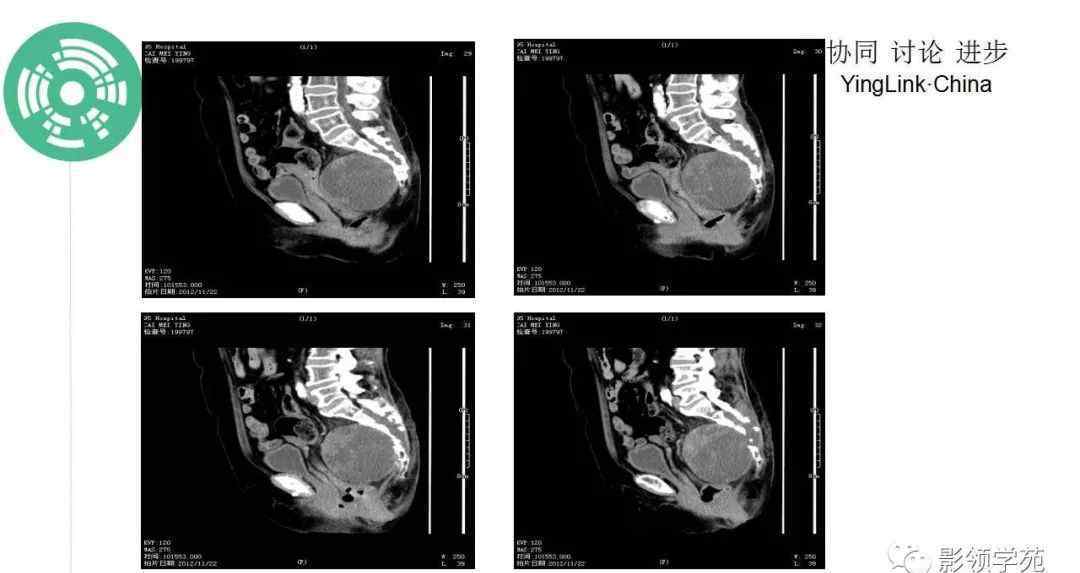
脊索瘤的影像学表现
CT:一般表现为溶骨性膨胀性骨质破坏,常伴有软组织肿块,穿插斑片状钙化(钙化率低于软骨肉瘤),少数边缘表现为骨质硬化。
MR: T1W1序列呈低信号或等信号,小病灶高信号代表肿瘤出血或粘液蛋白。T2W1序列显示中等或明显的高信号强度,内部低信号强度代表钙化、纤维隔膜或血液降解产物。增强后呈中、重度增强,偶有轻度或无增强,动态增强呈缓慢、持续增强。



鉴别诊断—
神经鞘瘤:
是最常见的椎管内肿瘤,常见于20-40岁,无性别差异。可发生于椎管各段,颈、胸段稍多,为孤立结节,薄膜完整,常与1-2个脊神经根相连,与脊髓无明显粘连。可能出现囊性改变,较大的肿瘤可能有血小板出血,很少出现钙化。在平片上,肿瘤显示一个圆形的固体块。Mr: T1W1为等信号或稍低信号,T2W1为高信号,在增强扫描中均匀增强。肿瘤倾向于向椎间孔方向生长,导致其扩张。骨窗图像可见骨吸收和椎弓根骨破坏,椎管扩大。当肿瘤通过硬膜囊的神经根鞘生长到硬膜外间隙时,肿瘤可以呈哑铃状,几乎没有钙化。
软骨肉瘤:
发病高峰年龄为30-40岁。最常见的部位:平骨、长骨干干骺端,可侵犯骨骺,其次是下颌骨、肋骨、肩胛骨、躯干骨和颅面骨,其他骨少见。CT表现为圆形或弧形钙化。恶性程度越高,钙化形态越模糊,但钙化仍可见。磁共振:T1W1信号强度低至中等,T2W1信号强度高,钙化信号强度低或无信号。加固后可呈现花边状的边缘加固和加固的曲线状间隔,并配以独特的环形和弧形加固。
1.《脊索瘤 【经典】脊索瘤》援引自互联网,旨在传递更多网络信息知识,仅代表作者本人观点,与本网站无关,侵删请联系页脚下方联系方式。
2.《脊索瘤 【经典】脊索瘤》仅供读者参考,本网站未对该内容进行证实,对其原创性、真实性、完整性、及时性不作任何保证。
3.文章转载时请保留本站内容来源地址,https://www.lu-xu.com/jiaoyu/1293640.html








