熟悉肾结核病理发展各阶段的影像学表现,对肾结核的准确诊断非常重要。
作者|黎俊杰
来源|医学影像诊断和干预渠道
作为系统性结核病的一部分,大多数肾结核继发于肺结核。和肺结核一样,肾结核本身也有独特的影像学表现。因此,熟悉肾结核病理发展过程中各个时期的影像学表现,对肾结核的准确诊断非常重要。这里收集了我院的一些肾结核病例,与大家讨论。
案例1
患者女,51岁,入院前20+天,患者尿频,无明显诱因,每隔几分钟尿一次,量少(详情不详)。她有时尿急,憋不住尿,排尿疼痛,像火烧一样,没有肉眼血尿。否认乙肝、肺结核等传染病史;患者报告尿频、尿急、尿痛数年。
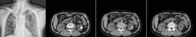
胸片+上腹部平片+静脉尿路造影(IVP)


胸片未见明显异常。上腹部平片扫描发现双肾有多个厚壁囊性肿块。低密度区的CT值约为8-12HU,右肾皮质变薄,左肾盂、肾盏和输尿管肿胀,左输尿管壁增厚。IVP显示左侧肾盂和肾盏扩张,左侧输尿管扩张。右尿路整个过程没有明确的发展,提示右肾功能下降或丧失。
辅助检查:ESR 42mm/h;结核分枝杆菌直接检测(MTD):阳性。
最终诊断:双侧肾结核伴左侧肾盂、肾盏及输尿管积水;左侧输尿管壁稍增厚,考虑结核侵犯输尿管壁。
诊断分析:
患者的膀胱刺激症状几年来反复出现,但重点主要在两肾,即肾结核的典型症状,即“病变在肾内,表现在膀胱内”,是结核分枝杆菌排入膀胱所致。
CT显示双肾囊性占位(主要在右侧)是脓肿的表现。由于肾结核主要累及肾髓质和肾乳头,结核菌进入肾髓质后逐渐发展,引起组织破坏,结核结节相互融合,中心发生坏死,形成干酪样病变并液化为脓肿,呈“花瓣状”和“猫爪状”水状密度影排列于肾盂周围。
本案中,IVP右尿路全程不发达,是结核破坏肾单位所致,导致右肾功能严重受损。左侧肾盂输尿管积水扩张,输尿管壁轻度增厚,与结核分枝杆菌向下扩散有关。
案例2
患者女,48岁,尿频、尿急、尿痛伴肉眼血尿1+个月,左侧腰痛,症状轻、重;否认结核病的历史。
胸片+上腹部平片+静脉尿路造影(IVP)


胸部平片无明显异常。与病例1相比,此期肾结核进一步发展,结核对肾实质的破坏加剧,左肾萎缩,伴有干酪样坏死区钙盐沉积。IVP显示右尿路通畅,左尿路从未发育,说明左肾功能下降或丧失。
案例3
患者,男,48岁,病理诊断为左肾结核。
胸片+上腹部平片+静脉尿路造影(IVP)+病理




胸片提示双上肺陈旧性肺结核;左肾与病例2相似,但肾实质萎缩更明显,干酪样坏死区钙盐沉积加重;尿路平片显示左侧肾实质钙化影,勾勒出肾下极,IVP提示左侧无功能肾。
病理:【肉眼】肾切除部分输尿管及肾周脂肪组织,肾皮质薄,皮髓分界不清,肾盂肾盏扩张,部分区域淡黄色坏死;【显微镜发现】肉芽肿性炎症伴坏死和钙化,考虑肾结核。
案例4
患者为77岁男性,有肺结核病史。
胸部+上腹部CT平扫

胸部CT显示双肺尖陈旧性肺结核;上腹部CT显示左肾萎缩,肾实质弥漫性钙化,提示左肾为自切片,是肾结核的晚期表现。
案例5
患者女,59岁,有肺结核病史。
胸部x光+上腹部平片扫描

胸部X线显示双肺尖端陈旧性结核,左肾呈梭形钙化。上腹部CT证实自主神经切除术。
从以上5例可以看出,肾结核的影像学演变过程大致如下:首先形成肾脓肿,在肾乳头分布区呈多个厚壁囊性肿块,呈“花瓣状”和“猫爪状”。随着结核分枝杆菌的进一步破坏,肾实质萎缩,皮质变薄,干酪样坏死区钙盐沉积增多→晚期肾实质全部萎缩,形成弥漫性钙化,即自主肾切除术,此时肾功能完全丧失。
讨论
肾脏感染结核分枝杆菌后,通常停留在肾小球周围的毛细血管中,那里氧张力高,便于结核分枝杆菌的存活和生长。
当机体免疫力正常时,病灶局限于肾皮质,形成多个微小粟粒结节,仅有病变,无明显临床症状。称为病理型(皮质型)肾结核,完全可以治愈。
如果有大量的结核杆菌,机体的抵抗力就会降低,结核杆菌会通过肾小管扩散到肾髓质,在肾乳头形成结核病灶。奶酪坏死后,会溶解,并突入肾盂,引起相应的临床症状。称为临床型(髓样型)肾结核,可分为三种类型:奶酪空孔、纤维硬化和钙化,其中奶酪空孔最常见,可引起肾盂、肾盏和输尿管干酪样坏死、溃疡形成和纤维瘢痕组织,导致肾盂和输尿管壁增厚、管腔狭窄,进而导致积水和脓液积聚(以上1例CT显示输尿管壁增厚,提示浸润)。
空孔内容物进入膀胱,引起结核性膀胱炎(在典型病例1和2中可见伴有膀胱刺激征)、膀胱挛缩和纤维化。当蔓延至膀胱的结核分枝杆菌侵入对侧输尿管内壁时,会导致输尿管下段狭窄梗阻,导致对侧肾积水。结核分枝杆菌也可通过对侧输尿管逆行感染引起对侧肾结核。肾结核长期治疗会导致肾脏萎缩钙化,最终形成自主肾切除术,导致肾功能完全丧失。
图像表示
①早期:结核分枝杆菌仅停留在肾小球周围的毛细血管内,仅引起肾盏边缘局部炎症和轻微损害,CT表现不明显;
(2)进行期:结核病灶进一步扩大,肾实质内形成脓肿,脓肿破裂,坏死物进入肾盏,肾实质内形成空孔。肾实质内有许多不同大小、形状、密度和壁厚的低密度囊性改变,沿肾乳头分布区呈“花瓣”、“猫爪”状排列,常伴有无定形钙化。
③晚期:轻度肾结核可自愈或治愈,并在肾脏形成钙化或小空孔。长期不治愈,可形成自主肾,即全肾萎缩,弥漫性钙化。此外,肾盂和肾盏的肿胀以及输尿管和膀胱壁的增厚是结核分枝杆菌在肾脏向下扩散的另一个特征性迹象。
鉴别诊断
①肾囊肿:边界清楚,呈圆形囊性水样密度,密度均匀(高密度肾囊肿因出血或蛋白质含量丰富而较高),增强扫描无强化,无肾盂狭窄和输尿管壁增厚,一般无任何临床症状。
②多囊肾:双侧肾脏明显增大,有多个不同大小的囊肿,有家族遗传史,可能并发多囊肝、多囊胰腺。
③重度肾积水:肾盂、肾盏扩张,水样密度,边界清楚,肾实质变薄萎缩。经常能发现梗阻部位和原因,如阳性结石、肾盂或输尿管肿瘤等。,往往没有钙化;但肾结核引起的积液密度稍高,边缘不清,常出现肾盂输尿管壁增厚,无法找到确切的梗阻点。当然也可能存在肾结核并发输尿管结石梗阻、肾积水(如上述病例3),需要结合临床进一步明确。
④肾脓肿:典型的肾脓肿是厚壁囊性占位,囊壁明显连续强化,周围有低密度水肿区,有时有典型的同心圆征。严重者可积聚肾周肌或腰肌,通常伴有高热、高血象及其他部位感染征象。
⑤黄色肉芽肿性肾盂肾炎:多为尿路结石梗阻后引起肾盂、肾盏扩张的感染性疾病,其CT表现与肾结核相似。结石多位于肾盂或输尿管,但肾结核钙盐沉积多位于肾实质干酪样坏死。黄色肉芽肿性肾盂肾炎的特征是持续发热和白细胞增多。
⑥囊性肾细胞癌:临床表现与肾细胞癌相似。囊性肾细胞癌一般壁厚不均匀,边缘与肾实质边界不清(与肿瘤缺乏包膜和浸润生长有关)。包膜内可见分离和结节,在增强早期可增强。囊壁和隔膜钙化明显,呈斑点状、线形或蛋壳样钙化,囊液密度不均匀。
由于肾结核在不同时期的影像学表现差异很大,其变化的基础来源于病理转归,熟悉其病理发展过程是正确诊断的前提和保证。总之,形象是静态的,疾病的发展是动态的过程。用动态思维思考问题,既能达到准确诊断的目的,又能举一反三。
1.《肾结核症状 肾结核如何演变?看完这几个病例你可能就懂了》援引自互联网,旨在传递更多网络信息知识,仅代表作者本人观点,与本网站无关,侵删请联系页脚下方联系方式。
2.《肾结核症状 肾结核如何演变?看完这几个病例你可能就懂了》仅供读者参考,本网站未对该内容进行证实,对其原创性、真实性、完整性、及时性不作任何保证。
3.文章转载时请保留本站内容来源地址,https://www.lu-xu.com/guonei/806233.html





