转移性肺癌 CT 表现特点由丁香站友分享,大家一起来读片。
1
弥漫性肺转移瘤的 CT 表现
1. 血行性转移:表现为两肺多发或弥漫性粟粒状、结节状病灶,大小不一,多为圆形或类圆形,边缘光整清楚,无分叶,以两侧中下肺多见。粟粒状病灶,大小 0.2 ~ 0.5 cm,密度偏高;结节状病灶,大小 0.5 ~ 1.0 cm,最大直径 1.5 ~ 2.0 cm,密度较高,部分病灶轻度分叶,似呈棉花团样改变,少部分结节边缘模糊或实性结节内出现不规则小空洞。
2. 淋巴性转移:表现为癌性淋巴管炎,支气管血管束不规则增粗,从肺门向肺野呈放射状、线网状、条索状改变,粗细不均,边缘较模糊。HRCT 显示小叶间隔增厚,绝大多数表现为典型的结节状间隔增厚,即「串珠征」。小叶中心有结节灶,常有胸膜下结节,病变在两肺弥漫性分布,以中下肺多见,常合并胸腔积液,部分患者常有肺门及纵隔淋巴结肿大。

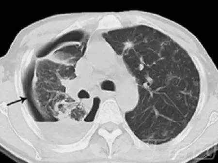
左上图:细小分支显示(白箭头),使肺纹理呈「毛刷样」改变;
右上图:肺纹理不均匀增粗呈「串珠样」改变(白箭头);
左下图:右前胸膜呈花边状增厚, 斜裂胸膜增厚呈结节状,近斜裂处肺野内可见密集分布的粟粒样结节;
右下图:左乳腺癌并右肺上叶癌性淋巴管炎(PLC),右上肺门无淋巴结肿大,连续层面观察亦无纵隔淋巴结肿大。
2
少见表现(以肝癌为例)与鉴别
肝癌肺转移:多为血行转移,但部分影像表现有些特别,其表现并不是圆形或类圆形,边缘光整清楚,无分叶,而表现为病变边缘模糊(下图)。

肝癌细胞经由肺动脉血行转移为最常见的转移途径,肝癌组织侵入肝内静脉,形成小的癌栓,癌细胞再经肝静脉与下腔静脉入肺循环,最终造成肺小动脉细小分支栓塞,致肝癌肺转移。
3
弥漫性肺转移瘤与非肿瘤性疾病鉴别
1. 血行播散型肺结核:急性粟粒型肺结核,粟粒状病灶大小、分布、密度均匀。亚急性慢性血行播散型肺结核,病灶大小不等,分布不均,密度不同,以中上肺多见,老的硬结钙化病灶位于肺的上部,新的渗出性增殖灶大都位于下方。弥漫性肺转移瘤的结节大小及分布可不均匀,并以两下肺多见,病灶发展较快,且病灶数目增多。而肺结核在抗结核治疗过程中有明显吸收趋势,病灶变淡,甚至消失,或出现纤维化钙化,与弥漫性肺转移瘤明显不同。
2. 矽肺:矽肺可表现为不同程度弥漫性间质纤维化,肺内小结节,小叶间隔串珠状增厚,肺门淋巴结肿大。但矽肺有明确职业病史,肺内常形成矽肺结节,肺小叶结构扭曲变形,肺门纵隔淋巴结常有钙化,病程进展很慢,影像学改变明显而临床症状相对较轻,也是矽肺特征之一。

图 1矽肺Ⅱ期中肺野 HRCT 图像显示肺内多发结节,大小、分布、密度不均匀,胸膜下可见小结节;并可见胸膜增厚及小叶间隔增厚
图 2左肺尖肺癌并肺内转移, 下肺静脉层面 HRCT 显示两肺大量粟粒结节影,直径 1 ~ 3 mm,边界清晰,随机分布于肺小叶内,结节大小、密度、分布均匀
图 3右肺上叶肺癌并肺内转移,上肺野 HRCT 图像示多发结节内小空洞(黑箭头)
图 5左侧乳腺癌并肺内转移,右肺动脉水平 HRCT 图像显示左肺小叶间隔光滑和结节状增厚, 并可见胸膜不规则增厚
3. 结节病:为原因不明的多系统肉芽肿性疾病。主要表现为两侧肺门淋巴结对称性肿大,常伴纵隔淋巴结肿大,以肺门淋巴结肿大更显著,肺小叶结构扭曲,肺内网状结节状病变常分布于中上肺,病程进展缓慢,临床症状与影像表现常不对称,Kveim 试验阳性。

4. 间质性肺水肿:表现为两肺门增浓,支气管血管束增粗、模糊,小叶间隔增厚,边缘光滑,患者常有心衰或二尖瓣改变,而淋巴性肺转移表现为两肺多发结节,小叶间隔增厚呈串珠状改变,不难鉴别。
5. 肺真菌病:播散性真菌病表现为粟粒结节影、弥漫网状影,也可表现为多发圆形结节。
4
不典型肺转移瘤
不典型肺转移瘤具有来源的多源性、病理机制的复杂性、肺血循环的双重性和影像表现的多样性,可以一种形式出现,也可以多种形式出现。
1. 空洞或空泡样转移瘤:结节性空洞以多发圆形、边缘光整多见,壁厚薄不一,肺门侧较厚,外侧壁较薄; 空泡样转移瘤的瘤壁光滑,质均匀,可与肺纹理相连。

男性,62 岁,左肺腺癌术后 4 年,两肺多发空洞性转移。
2. 气胸:气胸少见,系由肺肿瘤坏死引起。肿瘤以肉瘤特别是成骨肉瘤多见,也可见具有侵袭性和坏死特点的肉瘤样肿瘤。

男,66 岁,右肺癌胸膜转移伴液气胸。
3. 结节性钙化和骨化:肺结节钙化往往提示一个良性过程,常见于肉芽肿和错构瘤等良性瘤变,但结节性钙化或骨化也可发生在转移瘤上,主要见于骨肉瘤、软骨肉瘤、结肠癌等发生的转移瘤。

男,46 岁,结肠癌术后。肺内多发转移,部分结节内伴有钙化。
4. 两肺广泛弥散的粟粒状阴影:与其他粟粒样病变有时不易区别,但肺转移瘤的粟粒状阴影常常较大,且大小不一致,边界较模糊。
5. 孤立性肺转移瘤:单个较大的结节肿块性病变,边缘光滑,呈分叶状,密度均匀,与肺肉瘤相似。有时边缘毛糙(如下图),与原发性肺癌不易区别。有恶性肿瘤史的患者肺部发生单发结节或肿块时,25% ~ 40% 为转移瘤。原发瘤包括黑色素瘤、肉瘤、结肠癌、乳腺癌。

男性,68 岁,胃腺癌并肺转移,病灶边缘显示毛刺、胸膜凹陷及血管集束征。
6. 转移瘤内血管扩张:增强 CT 检查发现,转移性肺结节内有时可见扩张、扭曲的管状强化结构,系肿瘤血管。
7. 支气管内膜转移瘤:表现为支气管内圆形结节灶,支气管壁增厚,管腔狭窄,可合并阻塞性肺炎或肺不张。
8. 肿瘤性栓塞:肿瘤性栓塞位于血管内,无血管外增殖,部分位于中小动脉,增强扫描表现为主肺动脉或叶、段肺动脉充盈缺损,小动脉分支突然截断和扭曲,偶可见亚段肺动脉内充盈缺损。大量瘤细胞栓塞肺小动脉或毛细血管时可仅显示肺动脉高压征象。
考考你:原发性肝癌肝外血行转移最多的是?点击阅读原文即可查看答案。
编辑:汪小鱼 | 图片来源:Shutterstock
1.《熟记这些 CT 表现,一眼识破转移性肺癌》援引自互联网,旨在传递更多网络信息知识,仅代表作者本人观点,与本网站无关,侵删请联系页脚下方联系方式。
2.《熟记这些 CT 表现,一眼识破转移性肺癌》仅供读者参考,本网站未对该内容进行证实,对其原创性、真实性、完整性、及时性不作任何保证。
3.文章转载时请保留本站内容来源地址,https://www.lu-xu.com/guonei/24219.html