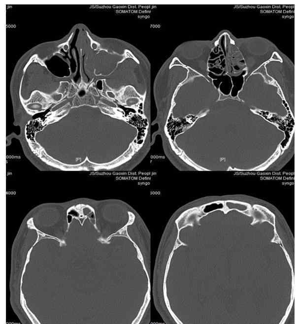
由于多年反复头痛,李先生在医院外的许多方面都没有改善用药。十天前,我来到苏州高新区人民医院耳鼻喉科体检。耳鼻喉科主任王新教授询问了他的病史。患者描述头痛在左前额,伴有鼻塞和流鼻涕。通过鼻内镜和鼻窦CT检查,发现程老师鼻中隔左侧弯曲,左侧上颌窦、筛窦、额窦因梗阻引起鼻窦炎。教授用鼻内镜手术治疗李先生。手术后,他的鼻腔通畅。鼻窦炎治愈后,多年的头痛消失了。出院后,李先生愉快地发来横幅,向医护人员表示诚挚的感谢。

图1鼻窦CT显示左鼻塞、左上颌窦、筛窦和额窦炎
王新教授解释说,鼻窦炎引起的头痛是头痛的常见原因之一,头痛的部位与鼻窦炎的部位有关。我们的颅骨有四组窦,包括八个窦腔,即额窦、筛窦、上颌窦和蝶窦。鼻窦炎头痛常表现为钝痛或头重脚轻,白天重,晚上轻。上颌窦炎的特点是患侧面颊和前额疼痛,头痛主要在下午,躺下时头痛可减轻。如果是牙源性的,上面的磨牙会有肿胀疼痛或叩诊疼痛。筛窦炎头痛程度较轻,多位于内眦与眶上角之间,伴有反射性疼痛。额窦炎是初期总头痛,然后逐渐局限于前额,时间规律性明显。头痛从早上开始,中午左右达到高峰,程度非常严重。随着脓性分泌物的排出,下午头痛减轻,晚上完全消除,第二天又出现。蝶窦炎的疼痛部位在眼球深部,可反射到头顶中央和枕部。严重者可伴有头晕、眩晕,多在中午前,排脓后头痛减轻。通常单个鼻窦炎比较少见,多见于多组或全组,所以头痛的特点往往是叠加的。

图2副鼻窦的位置
王新教授介绍说,除了头痛,鼻窦炎还伴有鼻塞、流鼻涕和嗅觉减退。急性鼻窦炎可通过积极的药物治疗治愈,鼻腔和鼻窦炎得到控制,粘膜肿胀消失,窦口通畅,鼻窦排出脓性分泌物。如果鼻窦炎复发,症状持续三个月以上,称为慢性鼻窦炎。慢性鼻窦炎患者应先进行局部和全身药物治疗,药物治疗无效时应进行鼻窦CT扫描。如果有影像学改变和手术指征,应进行内窥镜鼻窦手术。鼻内窥镜手术是治疗慢性鼻窦炎的首选方法。与传统手术相比,视野更清晰,能充分打开鼻窦口,改善鼻腔鼻窦引流,尽可能保持正常粘膜组织,有利于鼻腔鼻窦生理功能的恢复。由于是在鼻腔内手术,传统手术没有切口,真正实现了微创手术。
王教授提醒,秋冬季节或流感流行期间应积极预防感冒,感冒后急性鼻窦炎应及时用药治疗。如果鼻塞、头痛、流鼻涕甚至嗅觉下降超过三个月,必须去医院,否则会导致一些严重的眼眶和颅内并发症,影响正常的生活和工作。
1.《鼻炎引起头痛的位置 多年的头痛原来是鼻窦炎惹的祸!》援引自互联网,旨在传递更多网络信息知识,仅代表作者本人观点,与本网站无关,侵删请联系页脚下方联系方式。
2.《鼻炎引起头痛的位置 多年的头痛原来是鼻窦炎惹的祸!》仅供读者参考,本网站未对该内容进行证实,对其原创性、真实性、完整性、及时性不作任何保证。
3.文章转载时请保留本站内容来源地址,https://www.lu-xu.com/guonei/1763382.html