病史/病历
女,61岁,体检左肾被占
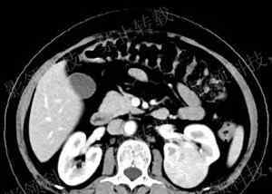
CT平扫及增强:左肾凸起,长实,呈圆形。增强扫描显示快进快出,皮质期增强不均匀,周围有假包膜。






CT表现:
1)病变位于肾皮质,长在肾的轮廓或表面之外,大部分病变突出于肾的轮廓。
2)稍低或等密度病灶,有点状钙化,边缘清晰,包膜完整。
3)病灶中心的星疤是其特征性改变。
4)动态增强后,肿块边缘明显增强,皮质病灶的增强程度甚至可以超过肾皮质,病灶边缘密度随时间延迟而降低,但造影剂趋向于充满中心。
核磁共振成像结果:
1)T1WI上的低信号强度和T2WI上的低或高信号强度。病灶通过增强扫描得到显著增强。
2)在2)T1WI上,肿瘤周围可见假包膜形成的低信号环。
3)肿瘤中心可见T1和T2信号相等的瘢痕组织。
肾嗜酸细胞瘤是一种罕见的良性肿瘤,占肾肿瘤的3%-7%,发病年龄在40岁以上。男性比女性更常见,男女比例约为2: 1。病变起源于远曲小管和集合管上皮,多位于肾皮质,使肾轮廓局部隆起,肿瘤形状光滑整齐。
通常没有临床症状,56%和90%的患者是偶然发现的,少数有腰部不适和肿块,肉眼血尿,显微镜血尿,高血压和肾功能损害。
左肾肿瘤切除术
1.《左肾肿瘤 【病例】左肾外凸性生长实性占位,围可见假包膜,你考虑哪种肾脏肿瘤?》援引自互联网,旨在传递更多网络信息知识,仅代表作者本人观点,与本网站无关,侵删请联系页脚下方联系方式。
2.《左肾肿瘤 【病例】左肾外凸性生长实性占位,围可见假包膜,你考虑哪种肾脏肿瘤?》仅供读者参考,本网站未对该内容进行证实,对其原创性、真实性、完整性、及时性不作任何保证。
3.文章转载时请保留本站内容来源地址,https://www.lu-xu.com/caijing/811384.html






