梳理:包lol安妮 三门县中心医院

校审:高建军 河北邯郸市第一医院

简略病历

病人,女,82岁,发烫伴咳嗽痰多四天,咳嗽不停时胸部隐痛存有。抽烟30年,均值每天抽烟10支,未戒烟戒酒。

一部分查验結果:

D-二聚体:5440 μg/L;血细胞CK:307 U/L、LDH:398U/L;胸液蛋白质:43.5 g/L、胸液LDH:777 U/L

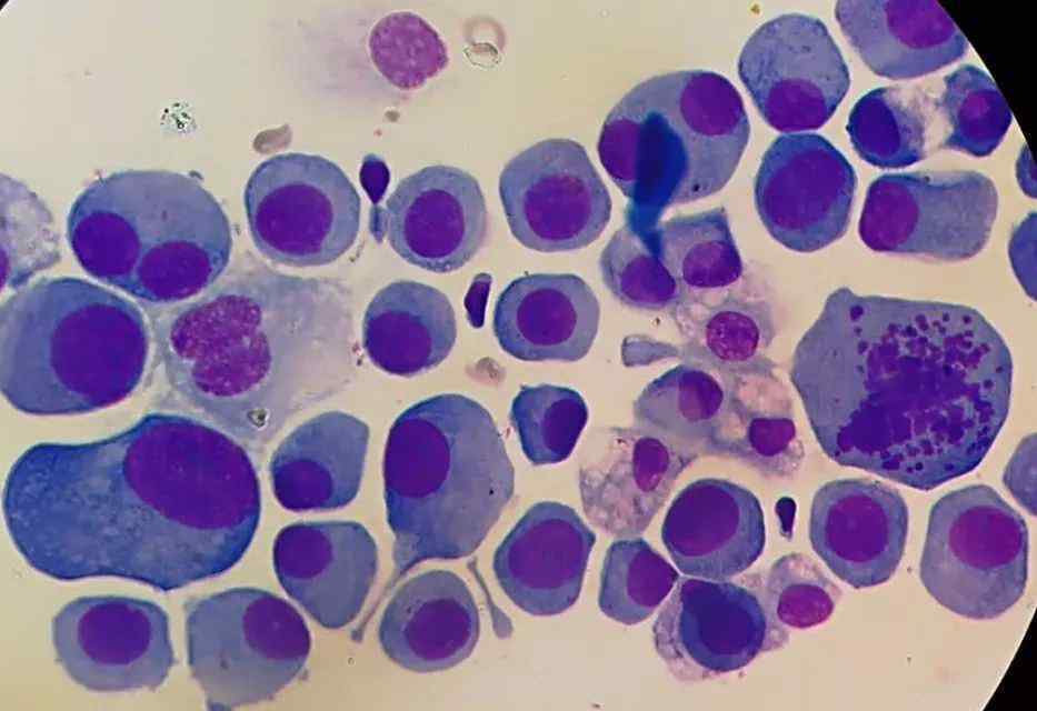
第一组胸水图片:

浦怡菁—浙江海宁市康华医院:由此可见核异质性体细胞,癌者年纪大,有吸烟史,是癌吧?

徐宏—浙江省杭州第一中心医院:现阶段体细胞觉得还行,由此可见核异质性体细胞。

张友—广东省深圳深圳龙岗人民医院: 从发上来的这种信息内容,只能定核异质性体细胞呢,有木有做肿标呢?假如肿标呈阳性,是否会是非小细胞癌或间皮瘤?

窦内心—甘肃酒泉市中心医院:不清除间皮瘤。

夏龙声—上海金山区人民医院:1、病人临床症状主要是寒性体质、发烫,干咳伴胸部隐痛;2、从现阶段体细胞特点看来,各种各样间皮细胞显著增加;仅有一、2个间皮细胞容积很大,胞浆丰富多彩,蓝灰色,胞核偏差,核仁显著;3、血细胞或胸液肿瘤标记物結果?4、依据目前的照片看来肿瘤不可以清除,如间皮瘤等。

王海荣—吉大附设第一医院直属机关院区:现阶段照片以间皮细胞为主导,少许核异质性体细胞,现阶段内未见异常体细胞。

胸液肿瘤标记物結果:

第二组胸水图片:

瑞氏染色 ×100

瑞氏染色 ×1000

刘敏—四川省通江县医院门诊:这组像恶性肿瘤。

王海荣—吉大附设第一医院直属机关院区:不清除间皮瘤体细胞,有木有影象?

黄俊—四川省成都第三医院:不清除间皮瘤。

夏龙声—上海金山区人民医院:有几倍性染色体。依据肿瘤标记物及后边的一组照片看来,肿瘤没什么问题,对于哪一种要融合影象及病理学了。

影象汇报:

B超提醒:双侧胸腔积水。

肺脏CT提醒:左肺上叶尖段有1.6x9 cm 的实性结节,边沿不规律。

第三组胸水图片:

最后結果:

细胞学文图汇报提醒:玻片以很多间皮细胞增长为主导,易见高宽比异常恶变体细胞(考虑到为腺癌很有可能)。

病理切片提醒:肺癌。

病理学基因检查: EGFR Exon19杂合性突然变化,EGFR Exon(18/20/21)突然变化,对EGFR-TKIs药品比较敏感。并于五月前始备用内服吉非替尼药品防癌医治。

医治后肿标及胸水常规結果:

周麟教师与高建军教师详细说明

“恶性间皮瘤体细胞与腺癌体细胞的辨别”

1

恶性间皮瘤临床症状与归类

恶性间皮瘤的临床症状为胸口痛、腹疼,积水常以顽强,原发性于间皮以及支撑点结蹄的肿瘤,最多见于胸膜增厚、次之为腹膜后,偶常见于心外膜。

按恶性肿瘤的来源于分成三种,癌性间皮细胞型、恶变梭形体细胞型、恶变双重型。恶性间皮瘤的病理学形状是难以辨别的,不论是病理学,還是细胞学均有一定难度系数。这主要是间皮细胞具备双重分裂作用,形状变化多端,其辨别难题取决于:①小细胞性恶性间皮瘤与别的小细胞性肿瘤的辨别;②胶原纤维型恶性间皮瘤与纤维肉瘤以及他梭形体细胞性恶性肿瘤的辨别;③间皮细胞型(上皮细胞型)恶性间皮瘤与腺癌的辨别。尤其是后面一种分辨十分困难。

2

恶性间皮瘤细胞学特点

恶性间皮瘤体细胞呈弥漫遍布,核多坐落于中间,出现异常核分裂,常撒落一片遍布,非常少重合。间皮瘤体细胞很大,多核细胞普遍,这也是间皮瘤的一个相互特点。

国际性间皮瘤学好提议间皮瘤评定必须一组免疫组化标识物,标识物最少两个间皮细胞标识物和两个肿瘤细胞。經典免疫组化组成包含钙眼底黄斑蛋白质(反映性间皮细胞)、D2-40(反映性间皮细胞)、MOC31(迁移的肺癌)和BerEP4(迁移的鳞状上皮细胞)。

(高建军出示)

Calretinin上色的间皮瘤(核和胞浆呈阳性)

Mesotheliomastained with calretinin (nuclearand cytoplasmic positivity)

节选自:Cytopathology: An Introduction 2013th Edition by Michael T. Sheaff (Author), Naveena Singh (Author)

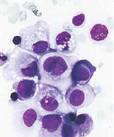
胸水里的恶性间皮瘤(Malignant mesotheliomaon MGG)

节选自:Cytopathology: An Introduction 2013th Edition by Michael T. Sheaff (Author),

, Naveena Singh (Author)

三维结团的间皮瘤

节选自:Serous Effusions: Etiology, Diagnosis, Prognosis and Therapy 2012th Edition

by Ben Davidson (Editor),‎ Pinar Firat (Editor),‎ Claire W. Michael (Editor)

胸水里的间皮瘤体细胞 肝腹水中的间皮瘤体细胞

节选自:Atlas of Serous Fluid Cytopathology: A Guide to the Cells of Pleural, Pericardial, Peritoneal and Hydrocele Fluids (Current Histopathology) 1989th Edition,by A. Spriggs (Author),‎ M.M. Boddington (Author)

3

腺癌细胞学特点

上皮细胞样体细胞型间皮瘤与腺癌一直是浆膜腔积水体细胞组织学确诊的难题,是体细胞组织学操作者高度重视和必须处理的主要难题。

腺癌体细胞的形状特性:胸腔水里,腺癌体细胞一般维持原发性位置细胞组织的特性,绝大多数以结团状的构造出現,极少数病案以散在遍布为特点,并以低分化腺癌为多见(移形细胞癌亦主要表现因此特性),且体细胞容积大、大小不一,以不规则图形及类圆并多见,胞质丰富多彩,胞浆呈强嗜偏碱、嗜偏碱和嗜酸混和。瘤细胞质多呈单核心,2核及多核,核垂直居中或偏差,核染色质呈多管理中心遍布、不匀称,产生核内晶莹剔透区,核染质网络状遍布,核分裂象由此可见。这类腺癌体细胞异型性显著、分裂差。少许结团状的腺癌体细胞出現在散在的腺癌体细胞中间,可主要表现为足球队形、黑桑葚样球型、气球型、体细胞聚集性球型、体细胞稀少性球型等,也但是梁状、腺管形及乳头状瘤体细胞团,乃至可出現菊形腺样构造和滤泡状构造。假如发觉这种结构特点,较为非常容易明确腺癌体细胞。本病案瘤体细胞极大,大小不一,疏松遍布,核偏差,核仁由此可见,由此可见核分裂象,胞浆嗜偏碱或偏嗜酸性(考虑到上色缘故)。胸腔水里的大体细胞腺癌普遍肺癌转移,其特性:CEA呈阳性,Alcian blue或胶体溶液铁上色呈阴性,PAS黏多糖呈阳性,糖元呈阴性,恶性间皮瘤则相反。

只靠组织学确诊是不足的,应高度重视融合临床表现、临床症状、影像诊断主要表现,选用细胞免疫有机化学上色、PCR基因扩增技术性,及其超微结构观查等当代确诊技术性等综合分析,才可以得到恰当的确诊结果。当出現单独分散化瘤体细胞情况下,大家应当辨别的肿瘤细胞包含:肝癌、消化道恶性肿瘤和乳癌体细胞。必须輔助查验能够协助大家查清单独瘤体细胞的来源于。

胸水里肺癌体细胞

胸水里的肺癌体细胞(高建军出示)

胸水里的直肠癌体细胞胸水里的胰腺肿瘤体细胞

胸水里的乳癌体细胞

节选自:Atlas of Serous Fluid Cytopathology: A Guide to the Cells of Pleural, Pericardial, Peritoneal and Hydrocele Fluids (Current Histopathology) 1989th Edition,by A. Spriggs (Author),‎ M.M. Boddington (Author)

肝腹水中的卵巢疾病体细胞

节选自:Serous Effusions: Etiology, Diagnosis, Prognosis and Therapy 2012th Edition,by Ben Davidson (Editor),‎ Pinar Firat (Editor),‎ Claire W. Michael (Editor)

1.《可见核异质性体细胞,癌者年纪大,有吸烟史,是否会是非小细胞癌》援引自互联网,旨在传递更多网络信息知识,仅代表作者本人观点,与本网站无关,侵删请联系页脚下方联系方式。

2.《可见核异质性体细胞,癌者年纪大,有吸烟史,是否会是非小细胞癌》仅供读者参考,本网站未对该内容进行证实,对其原创性、真实性、完整性、及时性不作任何保证。

3.文章转载时请保留本站内容来源地址,https://www.lu-xu.com/caijing/324450.html