谢谢彭龙老师授权分享
未经作者许可,请勿转载
胸片作为一种快速廉价的检查手段,往往是临床医生获得的第一手资料。面对这种阴暗的片子,如何才能确定是正常还是发现异常?接下来我们来复习一下胸部平片的基本阅读方法。
1.正常胸片的解释:
先来看胸部的解剖。

这是一张漂亮的照片,但要了解胸片,我们仍然需要一张更直观的解剖图。前方高能,做好心理准备。


或者更生动一点。


那么,他们在x光下会是什么样子呢?我们先来看一张正常女性的胸部x光片。

正常侧位片

让我们来看看带注释的标准影片:

复习英文标记,自上而下附上首字母:脊椎棘突S、锁骨C、气管T、前肋A、肩胛骨S、主动脉交界处A、气管分叉B、左主支气管L、门H、门血管V、降主动脉D、后肋P、右心房R、乳房软组织B、膈肌D、胃泡G、肝脏L。
看报告的时候经常看到影像医生描述的“肺野”和“带”两个字,但往往与具体的肺叶并不对应。为什么?其实这是一个人为划分的胸部X线描述术语,将肺组织划分为上、中、下三个肺野,内、中、外三个带,如上图,用粉色线和红色线划分。
这种划分有助于影像医生准确描述病灶的具体位置。我们来学习一下肺叶的划分。
左肺上叶


左肺下叶


右肺上叶


右肺中叶


右肺下叶


肺叶和肺野有区别吗?敲小黑板,这个后续会用到。
这是心脏的另一个投影解剖。

在给出支气管和血管的解剖图后,我们完成了肺野-纵隔-肺纹理的解剖学研究。
气管和支气管

肺动脉↓——斜行走状,多为双分叉结构

肺静脉↓——横走,多为单叉结构

好吧,我的朋友们都忘了正常的胸部x光片是什么样的了。别担心,还有存货。
正常男性的胸片


2.胸部平片阅读经验分享
看胸透有以下几点需要注意:
胸片图像的结构和原理
患者信息、胸片识别、胶片质量
生理变异和干扰假象
了解气管、骨骼、纵隔、横膈膜、肺纹理、肺门
了解胸片的基本病变
↓奉献给你的参考↓

DR胸片是辐射穿透人体后由感光元件采集的,因此其明暗对比取决于被照射组织的密度等因素。
阅读胸片,先检查患者信息,确保此片上的标签与影像一致,再检查影像质量是否合格
一般用双侧锁骨的长度、胸锁关节和横膈膜的位置来快速判断是否有姿势偏差。
正常吸气胸片时,可以看到第5-7前肋的横膈膜,可以快速判断吸气是否足够。
正常曝光的胸片会显示心脏阴影后面的椎间隙内的软组织,将无法区分。曝光过度或曝光不足都会使其与周围环境无法区分。
例如:

当我们确认患者信息、摄影条件、标签、胶片质量都ok的时候,那么孩子的诊断就准备出来了——镜像人,剩下的只需要CT/MRI来判断,鉴别诊断很多。
然后我将与你分享常见的变化和文物:

例如,肋骨和乳头阴影:


或者右主动脉弓:

或者马赫效应——当多个结构重叠或邻接时,读者可能会产生亮或暗线的视错觉。


前者为正常胸片,后者为纵隔气肿患者。

除了体表的异物,我们还需要看一下胸外的变化,比如上病人的颈部肺气肿,下病人的肩胛骨骨折。
看到这里,我们研究了胸部X线的生理& amp;变异& amp;我们对特殊原理有了一点了解,那么就言归正传,看看基本的病理变化。
胸腔:渗透性和肺容积的变化
大气道:大气道扩张和狭窄、气管瘘、气管壁改变和气管肿块
小气道:包括典型的马赛克征、树芽征和免疫损害引起的出血、水肿和中毒
肺实质:实变、肺不张、结节、肿块等。
间质性肺:包括典型的铺路石征、磨玻璃影、粟粒结节、囊肿等
大血管:肺动脉高压、肺栓塞、主动脉扩张、钙化等。
纵隔:移位、肺气肿、肿块、钙化、淋巴结改变等。
门:移位、肿块、钙化、淋巴结改变等。
心脏:房室腔改变、肿瘤、水肿、心包钙化等。
胸膜、胸壁、肋骨、膈:胸腔积液、气胸、胸膜钙化、胸膜肿块、胸壁软组织侵犯、肋骨破坏、肋骨骨折、膈疝、食管裂孔疝、膈下脓肿等。
其他:肩、颈、腹、椎体、软组织的各种改变。
你头晕了吗?我们来看一个简单的图,然后进入案例战。

分享一下你的阅读顺序,因为个人差异,仅供参考:
患者信息>肺通透性>气管纵隔>大心脏血管>肺野>隔膜>肋骨
网上有一组很好的方法,大家分享一下——ABCDE模式:A-气道&气道:&肺组织:&胸膜> B-骨> c-循环心脏&:纵隔> d-膈> e-额外特征&:其他体征和复习区域系统复习。
病例1:发热伴右胸痛,呼吸困难2天。

双肺通透性降低,气管不偏斜,纵隔左侧移位,上肺覆盖纤维条影,上肺野覆盖小结节影,右胸腔覆盖一致密度增高影,外高内低反抛物线,右膈面消失,左膈位置正常,右肋间间隙明显增宽。
最终确诊患者——双肺结核、双肺出血性播散性肺结核、右侧胸腔积液
给大家一个典型的血图。

病例2:间歇性咳嗽咳痰1周,伴有发热和右胸痛加重2天


当天照的片子如上,CT左为下图,抗炎6天后CT右为下图。


你对这个案子怎么看?

这里我们分享一个非常有用的符号——轮廓符号
●由于气垫肺组织的衬托,胸片上可以清楚地看到纵隔、肺门、横膈膜等软组织边界。当固结的肺与这些结构中的一个相连时,其边界会消失或不清楚。
●轮廓特征的原理就像上面提到的马赫效应,可以作用于胶片阅读器,改变理解方式——它也广泛存在于X射线胶片的明暗对比中,也就是所谓的边缘覆盖原理。比如肋骨在胸部X线上的成像原理不是肋骨与空气的自然对比,而是肋骨与相邻肌肉的对比图像。
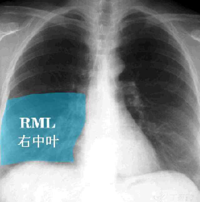
●轮廓征的应用:如用于大叶性肺炎的定位。正投影片——右上纵隔对应右上叶,右心缘对应右中叶或右下叶基段,右膈面对应右下叶,左上纵隔对应左上叶,左心缘对应左上叶舌段,左膈面或降主动脉对应左下叶。
●侧位片也适用:心脏后缘或左膈后部对应左下叶,右膈前部对应右中叶,右膈后部对应右下叶。
●轮廓征不是万能的,原理很简单,但是一侧肺容积明显增大或减小怎么办?
看了轮廓征的解释,病例2的诊断准备出来了吗?右肺中叶大叶性肺炎。
影像学检查是以这些设备给患者带来的生理-病理-变化作为诊断参考。同样的病,同样的影,同样的影,一直伴随着我们。只有仔细思考诊所,才能慢慢走出自己看电影的路。
最后分享一个和案例1很像的胸部x光。让我们看看它是什么。明天九点在留言区宣布答案


参考文献:
l急诊影像诊断学精髓/Gunn 原文;由宋彬和胡娜翻译。——北京:人民军医出版社,2015
l胸部影像学:第二版/韦布编辑,W . R;郭和郭顺林。——北京:科学出版社,2014
l胸部影像/穆勒,席尔瓦,C . I . s);史景韵、费娇、孙鹏飞译。——上海:上海科学出版社,2015
影像专家鉴别诊断。胸量/格尼,s .,主编;,董译。北京:人民军医出版社,2012
茉莉.如何识别和区分肺部疾病和胸部x线。pinterest.2016
点击“阅读原文”,立即购买
1.《胸片 秒懂胸片!扒一扒胸片的基础知识》援引自互联网,旨在传递更多网络信息知识,仅代表作者本人观点,与本网站无关,侵删请联系页脚下方联系方式。
2.《胸片 秒懂胸片!扒一扒胸片的基础知识》仅供读者参考,本网站未对该内容进行证实,对其原创性、真实性、完整性、及时性不作任何保证。
3.文章转载时请保留本站内容来源地址,https://www.lu-xu.com/caijing/1765460.html