牙周炎,一种非恶性,相对温和的健康杀手,给人类健康一把温柔的刀,虽然不致命,但足以让大多数人的生活质量在后半生遭受滑铁卢。
生不如死,但会很惨很后悔。
然而,这一切本来是可以避免的。
这是一个30岁的男生,因为“牙齿松动”来看病。
但等待他的是晚期牙周炎患者的最终归宿——整颗牙齿松动拔掉。
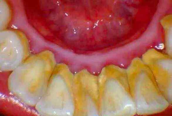
牙周炎患者的拔牙


& lt& lt滑动以查看下一张图片>:>;
@图为Xi安氏牙医老聂
换句话说,他看起来并不缺牙齿,但实际上他没有任何牙齿——这就是晚期牙周炎患者面临的“无牙困境”。
但是对于牙医来说,这样骇人听闻的“全拔牙”案例,我们公司空已经习惯了。
2017年9月19日,原国家卫生计生委发布的第四次全国口腔流行病学调查结果显示:
中国成年人牙周健康率仅为9.1%,牙周炎是中国成年人牙齿缺失的主要原因。
换句话说,超过90%的中国人的健康受到这种疾病的威胁,如果让它发展下去,他们甚至可能失去所有的牙齿——而且他们对此一无所知。
正因为如此,牙周炎是继癌症、心脑血管疾病之后威胁人类健康的第三大杀手,也是口腔健康的头号杀手。
每个人都有可能。
每个人都会遇到的头号杀手
牙周炎是局部因素引起的牙周支持组织慢性炎症,俗称“牙龈炎症”。
首先要知道一个基本概念:牙菌斑。
菌斑是附着在牙齿表面或口腔其他软组织上的微生物群落。它由大量细菌、细胞间物质、少量白细胞、脱落上皮细胞和食物残渣组成。
每个人都有牙菌斑,区别只在于数量,这也是牙周炎发病的关键。
通过每天正确高效的刷牙,可以将牙菌斑保持在非致病水平。否则牙菌斑会堆积钙化,牙结石会逐渐形成。
牙石


& lt& lt滑动以查看下一张图片>:>;
牙结石到一定程度,刷牙时会刺激牙龈发炎出血。
如果继续拖延牙龈炎,从量变到质变,最终会形成牙周袋、牙槽骨吸收、牙齿松动、口臭、牙周炎。
除了少数侵袭性牙周炎与遗传和全身因素有关,没有牙结石。大多数牙周炎基本上是从牙结石开始的,尤其是龈下结石。
谁容易患牙周炎?
一般来说,不仔细刷牙,忽视牙结石的危害,牙龈炎是极其持久的,是牙周炎的重要致病因素。
此外,长期食物嵌塞和长期刺激口腔修复也可导致牙周炎。
同时有几个易感群体值得高度关注:孕妇、吸烟者、糖尿病患者、牙列不规则者。
怀孕本身并不会引起牙龈炎症,但是因为怀孕期间性激素水平的变化,使得原来的牙龈炎症加重。
所以孕期牙龈炎的直接原因还是牙菌斑。
随着分娩后激素水平恢复正常,牙龈炎会整体缓解,但如果牙菌斑没有完全清除,仍会出现局部牙周炎。
“少了一颗牙”这句话的终极因素还是口腔卫生差,牙菌斑控制不好。换句话说,它不是必然现象,而是完全可控的。
另外,准备怀孕前请彻底清洁牙齿!这是目睹一位孕妇患牙龈炎甚至牙龈瘤吐血的教训!
吸烟和糖尿病也是牙周炎的重要诱发因素。
由于吸烟者口腔卫生普遍较差,烟斑更容易沉积牙菌斑,所以牙结石量普遍高于普通人,而且烟中的化学成分会对牙周组织造成慢性损伤。
长期吸烟的人成骨细胞活性降低,牙槽骨萎缩加速,导致牙周炎进展迅速,治疗困难。
吸烟本身也会增加患糖尿病的风险,两者又会形成恶性循环——如果一个吸烟者有糖尿病,他的整颗牙齿脱落就会逐渐提上日程。
香烟盒的警示包装

“消失”的中国牙周炎患者
与牙周炎极高的发病率形成鲜明对比的是,牙周炎患者的就诊率极低。
其实除了少数知名的口腔科,牙周病患者比较集中的地方,很多医院的口腔科牙周专科更是冷清——某种意义上来说,中国的牙周炎患者已经“消失”了。
为什么?这与两个普遍存在的误解有关。
牙周炎不生气
牙周炎最初表现为牙龈炎“刷出血”,也是干预治疗的最佳时机。
但大多数人认为这时候是“上火”,在家里念念不忘“祛火消炎”。
“炎症必须消除”的思想根深蒂固,大量患者被“一错就好消炎”的“黄金法则”误导,于是铺天盖地的“神奇药物”广告应运而生。

图片来源:123rf.com.cn正版图片库
但没有“灵丹妙药”能治愈牙周炎。
抛开大量“神奇药物”缺乏循证医学支持不谈,就连循证牙周医学:派丽奥(盐酸米诺环素软膏)也只是牙周专科治疗中的辅助药物。
牙周炎不是上火引起的,治愈的关键不是祛火,也不是控制牙菌斑,各种品牌都在推广,如“牙周炎宁、口炎清、牙周炎康、洁牙液、蜂胶、固牙膏”。
不,所有的牙齿都没了。只要插入一个新的
很多患者总觉得牙周炎不是什么大病,能拖多久拖多久,牙没了就插一颗假牙。
众所周知,全口可摘义齿不仅与天然牙功能不同,而且咀嚼效率低,使用不方便。种植全口义齿也是一种选择,可以更好的恢复咀嚼功能。
但现实是,并不是每个无牙患者嘴里都有开奔驰的财力。
昂贵的种植义齿

图片来源:@牙医黄健生
除了患者就诊率低之外,中国医院牙周专科的治疗状况也不容乐观。
一旦确定了牙周炎的诊断,就意味着要进行漫长而繁琐的序贯治疗,这比单纯的牙龈炎早期治疗要复杂得多。
不仅成本不在同一水平,还涉及到个人长期口腔卫生管理维护水平的差异,疗效因人而异。
所以牙周炎的治疗在国内已经成为一个非常沉重的话题,似乎“无药可救”的恶性循环永远无法避免。
无法治愈的牙周炎
与庞大的牙周炎患者群体相比,我国牙周专科医生的数量极其匮乏。
这可能与牙周病等牙科收入低有关。据保守估计,10名牙医中可能只有一名牙周专家,甚至更少。
很有可能几个三甲医院的口腔科都没有牙周专科医生,更别说乡镇医院了。
另一方面,牙周炎不同阶段的不同治疗要求也是相当专业的。除了牙周专家,其他专业的牙医连这个城市都没踏足过。
牙周炎的治疗方法之一

这就导致了大部分牙周炎患者经常第一次去看其他专科的牙医,需要第二次转诊的问题。
医生的治疗计划和转诊判断往往是根据牙周炎的严重程度、口腔卫生管理能力、治疗依从性甚至经济能力来决定的。
一种无奈的情况是,口腔健康意识低、积极获取口腔健康知识能力低的高危人群往往属于贫困经济阶层,缺乏口腔健康投资意愿。
有的医生转诊病人,却不愿意花时间精力去更高级别的医院做牙周治疗。这种现象抵消了医生的作用,使得小幅增加,降低了医生将患者转诊到牙周专科的积极性。
同时,患者最常问的一句话还是“医生,吃什么消炎药最好?」
结果就是只给牙周炎患者开消炎药的牙医遍地都是。毕竟患者已经消肿,解决了疼痛;费用低,医生也不麻烦。
最终患者和医生都更容易迁就现状,姑息治疗带来的是牙周炎的慢性进展。
牙周炎的序贯治疗难以推广,已成为不治之症。医患人数的悬殊已经成为一个看似尖锐,实则稳定的矛盾。
既没有黑幕,也没有医德缺失。一切都显得既合理又不合理。
这其中的大部分本来是可以避免的
与牙周炎的诊疗困境相比,预防的益处和优势是极其显著的。
早期干预和行为改变基本可以预防晚期牙周炎的无牙困境。
相反,如果早期牙周炎患者拒绝治疗,忽视口腔卫生管理,很可能会像文章开头那位年轻人一样,牙齿全部脱落。
那么,如何正确有效地预防牙周炎呢?
早晚正确地刷牙每半年至一年进行一次超声洗牙果断戒烟另外,对于易患牙周炎的人群,牙龈未退者需要掌握牙线的使用,退者应选择牙间刷或牙冲头作为辅助。
需要强调的是,定期洗牙不仅仅是针对牙周炎患者,而是针对所有人。
清洁牙齿可以有效去除牙菌斑和牙结石,保持牙龈健康,将牙周炎的初始因素消灭在萌芽状态。
洗牙前后对比


& lt& lt滑动以查看下一张图片>:>;
这三点听起来很简单,但就是这么简单的科普,却没有办法达到大众。
相反,很多“神奇药物”的广告依然铺天盖地,烟商依然在卖“漂亮的烟盒”。
在美国和日本,牙齿清洁已被纳入医疗保险计划,实现了广泛覆盖。
这对于政府来说是不小的投入,但是这一措施给国家带来的好处是显著的,鼓励全民自觉养成定期洗牙的习惯,从而为国家节省了大量的拔牙和种植牙费用。
为什么中国人逃脱不了掉牙的命运?
要知道,“老”从来都不是一种自然状态。六七十岁的人,有的人没牙,有的人不缺牙。生活习惯和口腔卫生意识起着决定性的作用。
90%的中国人的牙齿被这种疾病杀死,他们对此一无所知——这种情况大部分是可以避免的。
本文原作者:徐永刚,湖北省孝感市中心医院口腔科副主任医师,口腔医学深度科普网硕士。个人微信:xgmagic开不定期在线问答,微信官方账号:神奇牙医
本文首先从微信微信官方账号:丁祥望开始
封面图片来源:123rf.com.cn正版图片库
1.《牙龈瘤图片 为什么中国人逃不过牙齿掉光的宿命?》援引自互联网,旨在传递更多网络信息知识,仅代表作者本人观点,与本网站无关,侵删请联系页脚下方联系方式。
2.《牙龈瘤图片 为什么中国人逃不过牙齿掉光的宿命?》仅供读者参考,本网站未对该内容进行证实,对其原创性、真实性、完整性、及时性不作任何保证。
3.文章转载时请保留本站内容来源地址,https://www.lu-xu.com/caijing/1043882.html




